出っ歯は子どもさんのうちに治すのが
絶対に良いです。

6才から始めるのが最適です。
ですので7〜8才ですと、直ちに始める必要があります。
治療のやり方は少し違いますが、9〜11才でもできます。

出っ歯の原因の多くは上あごの大きさが小さいため、前歯が並びきらず前に飛び出してしまう事が一番多いです。
低年齢から早期治療を行うと、上あごを大きく広げる事ができますので、前歯が後ろに下がると同時に、上あごの前方向への成長を抑制できて、かつお顔立ちもよくなります。
大きくなってからでも治ることは治りますが、原因を完全には治しきれず、抜歯をしないといけなくなるなど、対症療法になってしまいます。
物理的に前歯を前に押しだしてしまいます。
口呼吸の子供さんは、常に口が開いていて、ベロが上アゴにひっついていないので、上アゴの成長が遅れ上アゴが狭くなってとんがってしまい、歯の並ぶスペースが無くなり、前歯が飛び出してしまいます。
つばを飲む時にベロが前歯を裏から押してしまう癖(くせ)。この癖により、前歯が飛び出してしまう。
遺伝等の理由で下アゴ自体が後ろに下がっていたり、小さかったりして相対的に出っ歯になる。
-
3〜4才
5才ごろから治療を始めます -
5〜6才の治療
治療が必要 -
7〜8才の治療
今すぐ治療が必要 -
9〜11才の治療
今すぐ治療が必要
マウスピースを日中1時間と寝ている間つけるだけです。
マウスピースをつけることにより出っ歯を治します。
プレオルソとT4Kという
2種類のマウスピースがあります。


出っ歯の治療に、マウスピースは非常に有効です。
家に帰ってから1時間と、寝る時だけつけます。

痛みがほとんどないので子供さんがいやがりません。(やわらかいポリウレタンでできてる)

家に帰ってから1時間と、寝る時だけ付けるので、学校で付けなくていいので、友達の目も気にならないし、授業や勉強にも全く差し支えない。

食事の時に装置をはずせるので、虫歯の心配がありません。

通院の頻度が少ないので楽。

出っ歯が治る原理
マウスピースを使用中は、物理的に指がお口の中に入りませんので指しゃぶりを防げます。
また、指しゃぶりをするたびに子供さんに怒っていたお母さんは、子供さんを怒らなくてすむので、子供さんは怒られないから自分から進んでマウスピースを入れようとします。そうすると、効果がどんどんでてきます。


▲口呼吸の人の典型的なお顔立ち
最近、口呼吸の子供さんが大変多いです。原因としては、やわらかい食べ物が多いため、あまり噛まずにお口の周りの筋肉がゆるんでることが大きな原因と言われています。他にはアレルギー性鼻炎や扁桃腺もあります。
マウスピースを装着してお口の周りの筋肉を鍛えると、お口がしまりやすくなり、鼻呼吸を促すことができます。また、ぽかん口もなくなります。

寝ている間は装置がお口から出ないように口を閉じた状態でテープを貼ります。
テープを貼ることにより、口呼吸を予防し鼻呼吸を促します。また、装置の効果を高めます。
口に貼るテープは「肌にやさしいテープ」「口閉じ専用テープ」「サージカルテープ」などを使用してください。幅は太幅のものがおすすめです。
マウスピースには舌(ベロ)を収納するためのスペースがあり、舌は必ずそこに収納され良い位置に落ち着いていきます。

マウスピースは上下一体型になっており、マウスピースを装着すると下アゴは物理的に前方に誘導されます。

▲出っ歯の治療前
▲プレオルソを装着したところ
(下アゴが前方に誘導されている)
▲下アゴが前に出ました
【治療内容】出っ歯の状態をプレオルソで改善しました。
【費用】16万円(税抜)
【リスク】プレオルソを装着しないと治りません。
※症例紹介の費用は掲載時点の金額です。治療費用は改定される場合がありますので、最新の料金はお問い合わせください。

アゴを横に拡げる
1期治療
上アゴを横に拡げたり、成長抑制したり、下アゴを前に誘導します。
最適な治療法は担当医の診断になります。

歯並びをキレイにする
2期治療(必要時)

アゴを大きくするだけで、歯並びがキレイになり矯正治療が終了することもありますが、よりキレイにしたいとか凄くキレイにしたい場合は2期治療という治療に移行します。
2期治療では、11〜13才で永久歯が生えそろってから、ワイヤーを付けて歯並びを完全にキレイにします。
子供の矯正の費用
トータルフィーで調整料などこれ以外の費用は一切かかりません
(※子ども矯正2期は選ぶ装置によって異なります。)
初診カウンセリングは 無料です。
初診料、レントゲン代(必要時のみ撮影)もいただいておりません。

マウスピースの費用は 160,000円(税抜)です。
1期治療へ移行する場合は1期費用から16万円を差し引いた金額となります。

この費用は決してマウスピースの装置だけの費用ではなく、装置をちゃんと使えてるかの管理や、あいうべ体操などのトレーニングの費用、そしてその効果のほども考えての歯科医師や歯科衛生士の管理も含めた費用です。
1期治療へ移行する前には特に必要な治療項目です。
また、装置が破損したり、交換した場合は追加の費用はかかりません。

1期治療の費用は 460,000円(税抜)です。

この治療法を行う場合は、拡大装置などの装置そのものの単独の費用ではなく、装置をちゃんと使えてるかの管理や、確実に歯並び自体も良くするための上アゴと下アゴの拡大や、骨格そのものを良い成長に導く効果のほども考えての歯科医師や歯科衛生士の管理も含めた費用です。
このトータルの治療法を1期治療と言います。
インビザラインファーストを使用した場合は510,000円になります。
2期治療の費用は大人の矯正から一律¥400,000減額(2期の管理料は大人の矯正に準じる)。

ただ1期治療だけで歯並びがキレイに治った場合や、完全ではないがかなりキレイになった場合は2期治療は必要ないこともあります。
※ 歯列矯正は保険が適用されない自由診療です。
ご自分に合ったお支払いプランを選べます。

費用のお支払いにはクレジットカード払い、分割払いもご利用いただけます。お支払いの方法はご自分にあったプランをじっくりご相談のうえ、お選びいただけます。

どこでしたらいいの?

ひとくちに矯正専門医院といっても、大人の矯正が得意な医院と子供の矯正が得意な医院があります。大人の矯正治療と子供の矯正治療は全く違います。
子供の矯正治療に詳しい矯正歯科を選ぶことが大切です。低年齢から矯正治療をすれば、子供の歯並びだけでなく、骨格(お顔立ち)もきれいになり、さらには全身の健康につながるということがわかっています。
当院では子供さんの治療に大変力を入れています。
子供の矯正に関するご質問・お悩みなど、
どんな小さなことでも丁寧にお答えしますので、お気軽にご予約くださいね。
矯正を始めるメリット
成長途中である子供のうちから行うことはより多くのメリットがあります。

大人になってしまうとあごの成長が終わっているので、現在のあごの大きさで歯を並び替えますが、子供の時期にはあごの成長を促したり、抑えたりすることができます。
成長をコントロールしてより良い方向に導くことができます。
成長が終わってから歯列矯正を行う場合には抜歯が必要になる場合が多くなりますが、子供のうちから成長を生かして矯正を行うと抜歯をせずに治療を終えられたり、二期治療を行う場合にも治療期間が短くなったりします。
子供の骨は柔らかく、7才くらいまではより柔軟性があります。歯が埋まっている骨が柔らかいので歯を動かしやすく、歯が動くときの痛みも少なくなります。
大人に比べて子供は適応能力が高く、矯正装置にも早く慣れることができます。また歯・歯ぐき・舌や口の周りの筋肉が治療後の咬み合わせに適応する能力にも優れています。
子供の矯正に対する
当院の思い

当院では低年齢でないとできない矯正を行っています。
そのメリットは、歯を抜かなくて済んだり、お顔の骨格自体が綺麗になったり、身体全身が健康になったりということがあります。そんなメリットを十分生かせる子供さんの矯正は本当に素晴らしいです。
大人の矯正よりも格段に綺麗に治ります。
早期に矯正を始めますと、歯並びが悪くなる大元の原因から治すことができます。
歯並びの良さはもちろん、顔のフォルムが美しくなり、全身の健康も手に入れることができますので、最低でも6〜8才までには診断をお受け頂き、子供さんに素晴らしいプレゼントをあげて頂けたらと思います。
私どもは子供さんの矯正の勉強を一生懸命行っており、大阪中の子供さんを幸せにしたいと常に思っています。

出っ歯の原因で一番多いのが、上顎(うえあご)の成長が遅れ、歯の並ぶスペースが無くなり、前歯が突び出してしまうことです。
その原因に対して、
固定式の装置で上あごを拡大します。
上あごを拡大すると、上あごは横に拡がり、出っ歯の前歯が後ろに下がります。
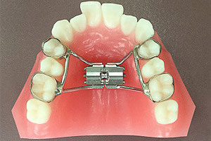
急速拡大装置という名前の装置をお口の中に装着します。
完全固定式なので、子供さん自身では外すことができず、確実に大きくなります。
(注意:骨格を大きくしてもお顔は大きくなりませんのでご安心ください)

▲上あごの場合(急速拡大装置)

急速拡大装置の真ん中のネジを1日1回まわします。
そうすることで、徐々にあごの骨が広がり、本来の正しい大きさになります。
上あごの骨は左右2枚の骨からできており、正中縫合というつなぎ目があります。

子供さんは、まだこのつなぎ目がまだしっかりひっついてない為、このつなぎ目を広げることができます。広がったつなぎ目には新しい骨ができて、上あごが大きくなる訳です。
そして、上あごが横に成長することによって、前歯が下がります。
上あごの上にある鼻腔という鼻の空気の通り道も広がり、さらに気道も広がるのです。
出っ歯の原因で一番多いのが、上顎(うえあご)の成長が遅れ、歯の並ぶスペースが無くなり、前歯が突び出してしまうことです。
その原因に対して、
取り外し式の装置で上あごを拡大します。
上あごを拡大すると、上あごは横に拡がり、出っ歯の前歯が後ろに下がります。
プレートという取り外し式の装置を使います。
プレートについているネジを回して幅を広げることで、あごの横幅が拡がります(横に成長します)。
(注意:あごを大きくしてもお顔は大きくなりませんのでご安心ください)
プレートを夜間などのお家にいる間、1日12時間くらい装着します。
治療期間はおおむね2〜3年で、乳歯から永久歯に正しい位置に生え変わるようにしていく治療方法が取り外し式装置を使った子どもの矯正です。 永久歯が生えそろうまで(12才前後)フォローします。
また、必要があれば永久歯が生えそろってから短期間ワイヤーを入れると歯並びはより綺麗になります。

子供の矯正に関するご質問・お悩みなど、
どんな小さなことでも丁寧にお答えしますので、お気軽にご予約くださいね。


実績が豊富なので安心です!

パープルダイヤモンド
(1500症例以上で最高ランク。
当院は2620症例。
日本で6医院のみ)
実績アジア・オセアニア2位
1989年より大阪で歯列矯正を行っており、グループ全体で2026年現在過去症例数は71,294人以上行っているので安心できます。
2025年の“1年間”で初診の患者様が8,120人来られました。
これは日本はもとより世界の矯正歯科の中でもトップクラスの患者数です。矯正歯科認定医も15人います。
(経験の少ない医院で行って失敗してる場合も多々あります)

大阪矯正歯科グループは、日本で最も長くインビザライン治療を提供してきた医院として、インビザライン・ジャパンならびに米国アライン・テクノロジー本社から第1位の表彰を受けました。
日本での導入初期から数多くの症例に携わってきた経験を活かし、見た目の美しさはもちろん、噛み合わせや治療後の安定性にも配慮したインビザライン治療をご提案しています。


ご提案します

当院は床矯正などの従来からの治療方法からインビザラインファーストなどの最新治療まで幅広い治療を行っていますので、お子さんに合った治療法をご説明します。

総合的な治療ができる

一般的な矯正歯科の場合は、虫歯の治療や抜歯、あるいは矯正中の歯の病気の治療に関しては、他の医院を紹介されることが多いですが、当院では院内で治療できます。

通いやすい

土曜日も朝9時から夜8時まで診療しているので予約が取りやすいです。
万が一キャンセルなどで変更した場合も予約が取りやすいので、治療が計画通りスムーズに進みます。
※医院によって休診日・診療時間が異なります。


出っ歯のお子さんの治療に関するご質問・お悩みなど、どんな小さなことでも丁寧にお答えしますので、お気軽にご相談くださいね。






































































