


当院は、ガミースマイルでお悩みの方を一刻も早くお救いし、
見た目の改善そして精神的な自信を向上し、貴方の人生に貢献いたします。
そして「説明と同意」を大事にして治療に取り掛かかっています。
ガミースマイルとは、笑った時やしゃべった時に歯ぐきがたくさん見えてしまうことを言います。当院では、ガミースマイルをキレイに治す治療を行っています。
手術直後に変化を感じて喜んでいただける方が多いです
人生が変わったと言っていただける方も多いです
その分類によって治療法が大きく変わります。





※症例紹介の費用は掲載時点の金額です。治療費用は改定される場合がありますので、最新の料金はお問い合わせください。

【治療内容】粘膜切除術
【費用】25万円(税抜)
【リスク】麻酔アレルギーがある方はできない。
くちびるの裏側の粘膜と、歯ぐきの上の方の粘膜を切って取って、そこを縫い合わせることで、くちびるが上にあがり過ぎなくする手術です。非常に効果の高い手術で、1回の手術で効果が長持ちします。また、お口の中から手術しますので、傷も見えません。
粘膜切除術について詳しくご紹介しますね。

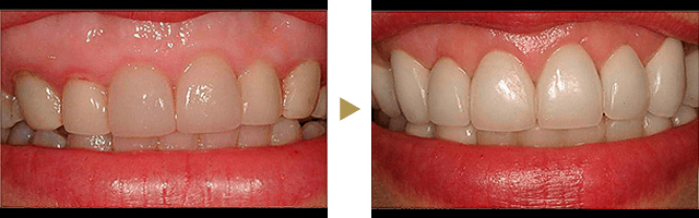
ガミースマイルの状態




治療終了の様子です。
くちびるが上に上がらなくなりました。
この手術法は、後戻りがしにくいので効果が長持ちします。
また、原因がくちびるだけじゃなかったり、ひどいガミースマイルの場合は他のガミースマイル手術とも併用できますので、非常に有効です。
手術も、完全に麻酔が効いた状態でしますので、当然痛みはありません。
手術時間は1時間弱です。手術後は、少し腫れる程度です。お口の中から手術しますので、ダウンタイムはそれほど気になりません。もちろんマスクをしていれば、まったくわからないです。

【治療内容】歯冠長延長術
【費用】30万円(税抜)
【リスク】麻酔アレルギーがある方はできない。

【治療内容】歯冠長延長術
【費用】30万円(税抜)
【リスク】麻酔アレルギーがある方はできない。
歯の長さが短い場合に、歯の長さを長くする手術です。

まず、歯を覆ってる(おおってる)歯ぐきを切ります。
ただ、歯ぐきを単純に切っただけでは、歯ぐきは元の長さに必ず戻ってしまいますので、歯ぐきを切ったあとで歯ぐきを剥がし、歯の根の周りの骨を露出させます。そこで露出させた骨も少し削って削除します。
骨を削除してできた歯の根の周りのスペースに歯ぐきを移動させて固定します。骨が減った状態で移動させると後戻りがなく、確実に歯ぐきが短くなります。
この方法は、ガミースマイルには最も効果があり、世界中でもたくさん行われ、非常に信頼性の高い手術です。お口の中だけの手術なので外から見えず、ダウンタイムもあまり気になりません。当院では、この手術の専門家がいます。
さらに、歯の形や大きさ、歯並びが気になる場合はセラミック治療も行うと、よりキレイになりますし、粘膜切除術なども併用して行うこともできます。

▲歯冠長延長術をして歯の長さを長くしたあとで、セラミックをかぶせた方
【治療内容】歯冠長延長術
【費用】30万円(税抜)
【リスク】麻酔アレルギーがある方はできない。

▲歯冠長延長術をして歯の長さを長くしたあとで、セラミックをかぶせた方
【治療内容】歯冠長延長術
【費用】30万円(税抜)
【リスク】麻酔アレルギーがある方はできない。
当院では、患者様の気になる点をじっくりお聞きし、原因も確実に診断した上で、最善の方法をしていきます。お気軽にご相談くださいね。

【治療内容】歯冠長延長術をしてからセラミックをかぶせます。
【費用】歯冠長延長術30万円(税抜)、オールセラミック1本11万円(税抜)
【リスク】麻酔アレルギーがある方はできない。
歯の位置が下にある場合は、歯冠長延長術で歯を根っこの方向に長くして、さらに、セラミックをかぶせて長さや形を整えます。

▲歯冠長延長術をして歯の長さを長くしたあとで、セラミックをかぶせた方
【治療内容】歯冠長延長術をしてからセラミックをかぶせます。
【費用】歯冠長延長術30万円(税抜)、オールセラミック1本11万円(税抜)
【リスク】麻酔アレルギーがある方はできない。
矯正または、
手術または、
矯正+手術が適応になります

【治療内容】歯並びの矯正治療
【費用】ワイヤー矯正 750,000円(税抜)
【リスク】ワイヤーやマウスピースを装着しなくてはいけない。


【治療内容】歯並びの矯正治療とセットバック手術(上アゴの前歯の部分を切り離して、後ろに下げる)
【費用】矯正治療26万円〜、上顎セットバック手術 1,647,800円(税込)
【リスク】全身麻酔なので麻酔アレルギーがある方はできない。
| 粘膜切除術 | 250,000円 (税抜) |
|
|---|---|---|
| 歯冠長延長術 | 6〜8本 | 300,000円 (税抜) |
| 1〜5本 | 50,000円/本 (税抜) |
|
| セラミック治療(オールセラミック) | 1本 110,000円 (税抜) |
|
| 【鎮静法】 ご心配な方はご希望により鎮静処置も対応いたします。 |
|
|---|---|
| 静脈内鎮静法(麻酔科医派遣)
※点滴麻酔(静脈内鎮静)はクリニックによって対応していない医院もございます。事前にお問い合わせください。 |
80,000円 (税抜) |
| 笑気吸入鎮静法(笑気吸入)
※笑気麻酔はクリニックによって対応していない医院もございます。事前にお問い合わせください。 |
10分当たり 1,500円 (税抜) |
※ ガミースマイル治療は保険が適用されない自由診療です。







ガミースマイルの治療のために、ただ単純に歯ぐきを切る歯科医師や医師がいますが、その場合は必ず数か月で100%後戻りします。
後戻りしないようにするには、歯ぐきだけでなく、歯の周りの骨も削除する「歯冠長延長術」をしないといけません。

歯科医師は普段から歯周病の手術などを行い、歯ぐきの手術が得意です。ただ、ガミースマイルの治療は特殊なので歯科医師の中でもできる歯科医師は限られます。
美容外科医の場合は、歯や歯ぐきの専門家ではなく、歯科医師ほどの知識が無いだけでなく、セラミック治療はできませんし、歯並びはノータッチですので、ガミースマイルの治療は断然歯科医師の方で受けられることをお勧めします。

粘膜切除術は1時間弱で終わるため、すぐに治ります。
ただ、手術後数日は、歯ぐきが突っ張った感じがあったり多少の腫れもありますが、就職や結婚式までには当然治ります。

以前はガミースマイルは矯正では中々治りづらかったです。ただ、最近はインプラント矯正という方法を併用すると治りやすくなってきました。ただ、重度のガミースマイルは、残念ながら矯正だけでは治りづらいです。
やはり、おすすめは粘膜切除術や歯冠長延長術です。
手術の際は、当然麻酔をします。局所にする局所麻酔と言いますが、麻酔がしっかり効きますので当然痛みはありません。
どうしても、痛みが気になられる方は麻酔科医による、点滴麻酔をしています。点滴麻酔をすると、眠ってしまうため、目が冷めた時は手術が終わっています。
※点滴麻酔(静脈内鎮静)はクリニックによって対応していない医院もございます。事前にお問い合わせください。
手術後は3日程度は多少の腫れはあります。また、お口の中からの手術なので傷口は外からは全く見えません。
粘膜切除術の場合は、粘膜を確実に切って短縮しますし、歯冠長延長術の場合は歯ぐきと歯の根の周りの骨も削除して確実に歯ぐきを短縮しますので、後戻りはしないです。

初診カウンセリング予約を、オンラインやお電話でして頂きます。
ご予約の前にご相談がある場合は、無料の電話相談、LINE相談、メール相談で、疑問点を解消してから、初診予約をして頂きます。

ガミースマイル専門医が、患者様の気になる点や、お悩みをじっくりお聞きし、親切で丁寧にご説明します。
そこでご納得頂ければ、手術のご予約をして頂きます。
患者様の状態に最も適した施術を行っていきます。施術は当日の1日で終わることが多いです。

ガミースマイルが改善されたか、しっかりチェックします。
手術だけの患者様は終了となります。

また、セラミック治療をご希望の患者様にはセラミックの型取りもして行きます。

セラミックをお入れして終了となります。
お入れしたセラミックが、将来歯周病にならないよう、メンテナンスのご説明もします。
梅田クローバー歯科クリニック 院長
久野 喬
梅田クローバー歯科クリニック
小見山 嵩彬
梅田茶屋町クローバー歯科・矯正歯科 院長
竹田 亮
なんばクローバー歯科 院長
共田 京太
心斎橋クローバー歯科・矯正歯科 院長
山田 秀史
心斎橋クローバー歯科・矯正歯科
山田 高久
心斎橋クローバー歯科・矯正歯科
坂根 有紀
京橋クローバー歯科・矯正歯科 院長
小山 泰志
クローバー歯科クリニック豊中駅前院 院長
松本 康裕
クローバー歯科豊中駅前院アネックス 院長
中西 洋介
ガミースマイルに関するご質問・お悩みなど、どんな小さなことでも丁寧にお答えしますので、お気軽にご相談くださいね。

医療法人真摯会 総院長
矯正歯科医・医学博士
松本 正洋














松本歯科大学卒業
2014年 まつもと歯科 勤務

国立 長崎大学歯学部卒業
2007年 まつもと歯科 勤務

松本歯科大学卒業 松本歯科大学大学院卒業



梅田クローバー歯科・矯正歯科
日曜日もやっています
大阪市北区梅田1-1-3-1800 大阪駅前第3ビル18F
診療時間
月〜日
9:00〜13:00/14:00〜20:00
休診日:祝日のみ
なんばクローバー歯科・矯正歯科
日曜日もやっています
大阪市浪速区湊町1-2-3 マルイト難波ビル3F
診療時間
月〜日
9:00〜13:00/14:00〜20:00
休診日:祝日のみ


京橋クローバー歯科・矯正歯科
日曜日もやっています
大阪市都島区東野田町2-6-1
コムズガーデンB1階
診療時間
月〜日
9:00〜13:00/14:00〜20:00
休診日:祝日のみ


