











2つ以上当てはまる方は、部分矯正が適応の可能性があります。
※症例紹介の費用は掲載時点の金額です。治療費用は改定される場合がありますので、最新の料金はお問い合わせください。



【内容】八重歯・歯のがたつきが気になるとご来院いただき、ホワイトワイヤーで部分矯正を行った患者様の症例です。
【費用】ホワイトワイヤー部分矯正 280,000円(税抜)
【リスク】矯正装置が口の中に当たって口内炎が出来やすくなる方もおられます。



【内容】乱ぐい歯が気になるとご来院いただき、ホワイトワイヤーで部分矯正を行った患者様の症例です。
【費用】ホワイトワイヤー部分矯正 280,000円(税抜)
【リスク】矯正装置が口の中に当たって口内炎が出来やすくなる方もおられます。



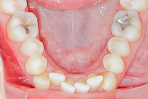
【内容】1本だけ歯が飛び出しているのが気になるとご来院いただき、ホワイトワイヤーで部分矯正を行った患者様の症例です。
【費用】ホワイトワイヤー部分矯正 280,000円(税抜)
【リスク】矯正装置が口の中に当たって口内炎が出来やすくなる方もおられます。



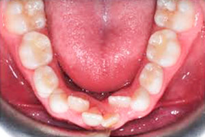
【内容】下の前歯の歯並びが気になるとご来院いただき、ホワイトワイヤーで部分矯正を行った患者様の症例です。
【費用】ホワイトワイヤー部分矯正 280,000円(税抜)
【リスク】矯正装置が口の中に当たって口内炎が出来やすくなる方もおられます。
▲ 矯正実績日本一の
大阪矯正歯科グループの症例です
当院では短期間・低価格で行える前歯の部分矯正を行っております。
やり方は3種類あります。





歯全部を動かすより治療期間がかなり短くなり、歯を動かす期間は3ヶ月〜1年位です(平均は3〜4ヶ月です)。セラミック矯正の場合は1〜3か月です。(平均は1〜2か月です)。
(部分矯正だけでは終わらず全体的な治療になることもあります。)

一般的な矯正治療の場合
・治療費が75万円〜100万円程度必要
・治療期間が1〜3年程度かかる

前歯だけの部分矯正なら
・治療費が26万円程度〜でリーズナブル(治療方法によって異なります)
・セラミック矯正の場合は1本が11万円(オールセラミック)〜になります
・治療期間が3ヶ月〜1年で短くすむ

早い前歯だけ動かすので早く終わります(前歯は奥歯に比べ動きやすい)。
治療期間は3〜12ヶ月くらいです(平均は3〜4ヶ月です)。
安い全体矯正に比べて費用が1/4〜1/2です。
痛みが少ない前歯しか装置を付けませんので、動かす歯の本数が少なくて痛みはもちろん半減以上します。
セラミック矯正の場合は、麻酔をして治療をするので、そもそも痛くありません。
歯そのものがキレイになるセラミック矯正の場合は、ご自身の歯に新しくセラミックの歯をかぶせますが、セラミック自体が天然の歯よりもキレイなため、歯並びだけでなく、歯の見た目もキレイになります。
器具が目立ちにくい前歯につけるブラケットは透明で目立ちにくいです。(マウスピースでの部分矯正も可能です。)
歯を抜かなくて良い上あごはほとんどのケースで歯を抜かずに済みます(下あごの場合は抜くこともあります)。歯を削る量もセラミック治療に比べはるかに少ないです。
ケアが楽にできる前歯にしか装置を付けませんので、毎日のケアが楽です。

部分矯正でできないこともある●前歯の重なりがひどい場合
●骨格に問題がある場合
●前歯全体が出っ歯の場合
こういった時は全体矯正をおすすめします。
歯を削ると歯がしみることもある部分矯正の場合、歯を少しだけ削って矯正することが多いです。まれに削った後に歯がしみることがあります。
セラミック矯正の場合はセラミック矯正の場合は、ご自身の歯を削って、セラミックの歯をかぶせるために、歯を削らなくてはいけません。ただ、削った時に歯の神経を残せる場合は、あまり歯にダメージが来ませんが、歯の神経を取らないといけない場合は歯に良いとはいえません。その代わり、かなりキレイになりますので、メリット・デメリットをしっかり歯科医師の説明を聞かれてからご判断いただいてます。
全体矯正より仕上がりが部分矯正でも大半はキレイな歯並びになりますが、元々の歯並びの状態によっては、全体矯正より劣る場合もあり得ます。
奥歯のかみ合わせは治りません前歯だけを治しますので、奥歯は治りません。上下のかみ合わせが良くなかった場合も、治りにくいです。

治療法が3つもあり、最もあなたに適した方法をご説明
前歯1〜2本などのピンポイントでも治療できる
全体矯正の知識のある矯正医が治療を行っている
痛みが極端に少ない方法を採用しているマウスピースは痛みが最も出にくいですが、当院はマウスピースの部分矯正が得意です。
また、ワイヤー矯正の場合は、できるだけ細いワイヤーを使用しています。細いワイヤーの方が痛みが出にくいです。そして、痛みが出やすい奥歯にはワイヤーを基本は付けない方法でしてますので痛みに弱い方も安心です。
歯の動きが最も速い方法を選択できる治療のスピードを優先される方には、最も速い方法をご提案します。歯並びによってスピードの速い方法が変わりますので丁寧にご説明します。
また、ワイヤー矯正の場合は、ブラケットと言って歯の表面につけるボタンのような器具があるのですが、その中から最も動きが速いブラケットを使って治療期間の短縮をしています。
無理な治療はしません部分矯正でできない場合は、きちんと説明し、無理な治療はしません。
また、歯を削ったり、抜いたりしないといけない場合は、丁寧に理由をご説明します。歯並びはもちろん健康も考えた治療をしています。
後戻りしないようにきちんとした処置をします
むし歯や歯周病等、連携した治療ができる


デンタルローンにより最大120回まで の分割払いに対応したプランです。
金利手数料は実質年率3.6%とお安く設定されております。
当院独自ではありませんが、当然各種クレジットカードもご利用いただけます。

前歯だけの部分矯正の
治療費
無料カウンセリング受付中
矯正するか迷っている方も、
まずは話すだけでも大丈夫。
初診相談
0円
あなたの歯並びに合う治療方法をご提案
費用や期間も、その場でわかります






【初診カウンセリング¥0】
上か下(片顎)(前歯4〜8歯のみ)
銀色のワイヤー¥260,000(税別)
| 分割回数 | 1回目以降(税込) | 最終回(税込) |
|---|---|---|
| 60回 | 5,215 | 5,226 |
| 84回 | 3,856 | 3,890 |
| 120回 | 2,841 | 2,849 |
●金利3.6% 260,000円(税抜)の場合
ホワイトワイヤー¥280,000(税別)
| 分割回数 | 1回目以降(税込) | 最終回(税込) |
|---|---|---|
| 60回 | 5,616 | 5,638 |
| 84回 | 4,153 | 4,153 |
| 120回 | 3,060 | 3,011 |
●金利3.6% 280,000円(税抜)の場合
裏側矯正¥490,000(税別)
| 分割回数 | 1回目以降(税込) | 最終回(税込) |
|---|---|---|
| 60回 | 9,829 | 9,827 |
| 84回 | 7,268 | 7,284 |
| 120回 | 5,355 | 5,316 |
●金利3.6% 490,000円(税抜)の場合
インビザラインGo
上下(全顎)¥390,000(税込¥396,000)
| 分割回数 | 1回目以降(税込) | 最終回(税込) |
|---|---|---|
| 60回 | 7,823 | 7,821 |
| 84回 | 5,785 | 5,761 |
| 120回 | 4,262 | 4,239 |
●金利3.6% 390,000円(税抜)の場合
上か下(片顎)
イージーケース2(マウスピース14枚程度)¥445,000(税別)
| 分割回数 | 1回目以降(税込) | 最終回(税込) |
|---|---|---|
| 60回 | 8,926 | 8,946 |
| 84回 | 6,601 | 6,568 |
| 120回 | 4,863 | 4,855 |
●金利3.6% 445,000円(税抜)の場合
上下(全顎)
イージーケース2(マウスピース14枚程度)¥485,000(税別)
| 分割回数 | 1回目以降(税込) | 最終回(税込) |
|---|---|---|
| 60回 | 9,729 | 9,710 |
| 84回 | 7,194 | 7,197 |
| 120回 | 5,300 | 5,311 |
●金利3.6% 485,000円(税抜)の場合
上か下(片顎)
イージーケース3(マウスピース26枚程度)¥520,000(税別)
| 分割回数 | 1回目以降(税込) | 最終回(税込) |
|---|---|---|
| 60回 | 10,431 | 10,421 |
| 84回 | 7,713 | 7,729 |
| 120回 | 5,683 | 5,630 |
●金利3.6% 520,000円(税抜)の場合
上下(全顎)
イージーケース3(マウスピース26枚程度)¥575,000(税別)
| 分割回数 | 1回目以降(税込) | 最終回(税込) |
|---|---|---|
| 60回 | 11,534 | 11,543 |
| 84回 | 8,529 | 8,529 |
| 120回 | 6,284 | 6,244 |
●金利3.6% 575,000円(税抜)の場合
前歯2本の場合
オールセラミック1本 11万円×2本¥220,000(税別)
| 分割回数 | 1回目以降(税込) | 最終回(税込) |
|---|---|---|
| 60回 | 4,413 | 4,400 |
| 84回 | 3,263 | 3,264 |
| 120回 | 2,404 | 2,387 |
●金利3.6% 220,000円(税抜)の場合
前歯4本の場合
オールセラミック1本 11万円×4本¥440,000(税別)
| 分割回数 | 1回目以降(税込) | 最終回(税込) |
|---|---|---|
| 60回 | 8,826 | 8,829 |
| 84回 | 6,526 | 6,571 |
| 120回 | 4,808 | 4,848 |
●金利3.6% 440,000円(税抜)の場合
前歯6本の場合
オールセラミック1本 11万円×6本¥660,000(税別)
| 分割回数 | 1回目以降(税込) | 最終回(税込) |
|---|---|---|
| 60回 | 13,239 | 13,257 |
| 84回 | 9,790 | 9,787 |
| 120回 | 7,213 | 7,165 |
●金利3.6% 660,000円(税抜)の場合
※ 歯列矯正は保険が適用されない自由診療です。

部分矯正は、主に気になる前歯だけを治しますので、全体を治すより費用がかかりません。
当院は、治療の質を落とすことなく、部分矯正が可能な場合は積極的に行っています。
部分矯正については、かなり実績もあり、常に勉強もしておりますので、自信を持って治療しています。
ただ、部分矯正で治らない場合もありますので、その場合はきちんとご説明して絶対に治療の質が落ちない様にしています。



当院は、世界的に権威のあるマウスピース矯正「インビザライン」で、最高ランクである
「パープルダイヤモンド」を受賞しています(※1500症例以上で認定/当院は2620症例)。
この実績は、日本全国でも数えるほどの医院しか取得していません。
また、グループ全体では1989年からの累計で71,294人以上の矯正治療実績があり、 2025年の“1年間”だけで初診相談に訪れた患者様は8,120人にのぼります。
経験と実績があるからこそ、あなたに合った治療方法を丁寧にご提案できます。
はじめての方も、安心してご相談ください。

大阪矯正歯科グループは、日本で最も長くインビザライン治療を提供してきた医院として、インビザライン・ジャパンならびに米国アライン・テクノロジー本社から第1位の表彰を受けました。
日本での導入初期から数多くの症例に携わってきた経験を活かし、見た目の美しさはもちろん、噛み合わせや治療後の安定性にも配慮したインビザライン治療をご提案しています。



最近は、マウスピース矯正を取り扱う医院も増えてきましたが、医院によっては対応できる治療法が限られている場合もあります。
当院では、ワイヤー矯正・マウスピース矯正・裏側矯正・部分矯正・輪郭手術(セットバック手術)など、さまざまな治療法に対応しているため、お口の状態やご希望に合わせて、最適な治療方法をご提案することが可能です。
「矯正ってこんな方法もあるんだ」と、気軽にご相談いただけるような雰囲気づくりも大切にしています。


矯正治療が長くなる原因のひとつは、予約が取りづらくて通院が伸びてしまうこと。
当院は矯正歯科医が多数在籍し、土日・夜8時まで診療しているため、予約が取りやすくスムーズに治療が進みます。
さらに、治療のスタート前から歯を動かす順番や量を精密にシミュレーション。 無駄のない動きになるように綿密な計画を立てることで、治療期間の短縮につながっています。
マウスピース矯正では、通常よりも短い間隔での交換(5日や3日ペース)を実施しており、より早く歯が動く仕組みを取り入れています。
これは「シュアスマイルVPro」という装置の高周波振動によって、歯の周りの骨の代謝を高め、痛みを抑えながら歯の動きを促進する技術があるからこそ実現できています。



矯正治療中に虫歯が見つかったり、抜歯が必要になることもありますが、多くの矯正専門医院では、そういった治療を他院に紹介されるケースが少なくありません。
当院では、虫歯治療・抜歯・歯ぐきのケアなども、すべて院内で対応できます。
矯正以外の治療もできるから、わざわざ別の病院に行く必要がなく、通院の負担も少なくて済みます。
「ここだけで全部できる」という安心感も、当院が選ばれている理由のひとつです。


土曜日も朝9時から夜8時まで診療しているので予約が取りやすいです。
万が一キャンセルなどで変更した場合も予約が取りやすいので、治療が計画通りスムーズに進みます。
※医院によって休診日・診療時間が異なります。


インビザラインのマウスピースに専用のホワイトニングの薬剤を入れて、歯に装着します。
そうすると、マウスピースを入れている間についでに同時に歯のホワイトニングができてしまうんです。
歯並びがキレイになって、さらに歯も白くなって本当にキレイな歯になります!
【治療内容】ホワイトニングジェルを流しこんだマウスピースを歯に装着して、歯を白くします。
【費用】ホームホワイトニング 0円
【リスク】歯が白くなっても、何もしなければ2〜3年で元に戻ります。後戻りを防ぐには専用の歯磨き剤で歯ブラシしていただく必要があります。
※ホワイトニングは保険が適用されない自由診療です
部分矯正に関するご質問・お悩みなど、どんな小さなことでも丁寧にお答えしますので、お気軽にご相談くださいね。
矯正治療はある程度費用がかかります。
もちろん安い方が良いに決まってますが、安易に安い医院を選ぶのは危険です。
安い医院には必ず、安いなりの理由があります。






とかです。
まとめ
当院は、常に矯正治療の勉強をしていて、最先端の知識を吸収し、治療の仕上がりが良い矯正治療を行っています。
担当する歯科医師も経験をたくさん積んだ上で治療にあたっています。矯正治療の実績は断トツ日本一ですのでどうぞ安心されて下さいね。
▲当院のドクター勉強会の様子でも費用がかかると支払いができないという問題が出てきます。
そこで、当院では、治療の質を落とすことなくお支払いを楽にする独自の方法を行っています。

医療法人真摯会 総院長
矯正歯科認定医・医学博士
松本 正洋
















国立 長崎大学歯学部卒業

松本歯科大学卒業 松本歯科大学大学院卒業

国立徳島大学歯学部卒業
2004年 国立徳島大学 歯学部 歯学科入学












クローバー歯科クリニックは、
大阪矯正歯科グループ併設の
矯正歯科クリニックです。
お電話かネットからご予約ください。
梅田クローバー歯科・矯正歯科
大阪市北区梅田1-1-3-1800 大阪駅前第3ビル18F
平日・土曜・日曜も夜20時まで診療
優しい矯正認定医が親切・丁寧に説明します。
梅田クローバー歯科クリニック【矯正相談】
梅田クローバー歯科クリニック【小児矯正相談(12歳以下)】
ご予約後メールが届きますので、メールに記載の予診票をカウンセリング前に必ずご入力ください。
わざわざ医院にお越しいただかなくてもお気軽に矯正のオンラインカウンセリングができます。
親切丁寧にご説明します。
診療時間
月〜日
9:00〜13:00/14:00〜20:00
休診日:祝日のみ
カトレア歯科矯正歯科・美容
クリニック
(クローバー歯科クリニックイーマ院)
大阪府大阪市北区梅田1-12-6 E-ma(イーマ)6階
平日・土曜も夜20時まで診療
優しい矯正認定医が親切・丁寧に説明します。
カトレア歯科矯正歯科・美容クリニック【矯正相談A】
カトレア歯科矯正歯科・美容クリニック【矯正相談B】
※相談数が多いためA・Bに分かれていますが内容は同じです。
まずAで空き状況をご確認の上、ご希望の日付がなければBもご確認ください。
ご予約後メールが届きますので、メールに記載の予診票をカウンセリング前に必ずご入力ください。
わざわざ医院にお越しいただかなくてもお気軽に矯正のオンラインカウンセリングができます。
親切丁寧にご説明します。
美容Tel.(輪郭手術はこちらにお電話ください)
カトレア歯科矯正歯科・美容クリニック【輪郭手術相談】
診療時間
月〜土
9:00〜13:00/14:00〜20:00
休診日:日・祝
梅田クローバー歯科・矯正歯科アネックス
大阪市北区梅田1-1-3-1800 大阪駅前第3ビル18F
平日・土曜・日曜も夜20時まで診療
優しい矯正認定医が親切・丁寧に説明します。
梅田クローバー歯科・矯正歯科アネックス【矯正相談】
梅田クローバー歯科・矯正歯科アネックス【小児矯正相談(12歳以下)】
ご予約後メールが届きますので、メールに記載の予診票をカウンセリング前に必ずご入力ください。
わざわざ医院にお越しいただかなくてもお気軽に矯正のオンラインカウンセリングができます。
親切丁寧にご説明します。
診療時間
月〜日
9:00〜13:00/14:00〜20:00
休診日:祝日のみ
梅田茶屋町クローバー歯科・矯正歯科
大阪市北区茶屋町15-22 アーバンテラス茶屋町C棟4階
平日・土曜も夜20時まで診療
優しい矯正認定医が親切・丁寧に説明します。
ご予約後メールが届きますので、メールに記載の予診票をカウンセリング前に必ずご入力ください。
わざわざ医院にお越しいただかなくてもお気軽に矯正のオンラインカウンセリングができます。
親切丁寧にご説明します。
診療時間
月〜土
9:00〜13:00/14:00〜20:00
休診日:日・祝
なんばクローバー歯科・矯正歯科
大阪市浪速区湊町1-2-3 マルイト難波ビル3F
平日・土曜・日曜も夜20時まで診療
優しい矯正認定医が親切・丁寧に説明します。
ご予約後メールが届きますので、メールに記載の予診票をカウンセリング前に必ずご入力ください。
わざわざ医院にお越しいただかなくてもお気軽に矯正のオンラインカウンセリングができます。
親切丁寧にご説明します。
診療時間
月〜日
9:00〜13:00/14:00〜20:00
休診日:祝日のみ

クローバー歯科・矯正歯科
あべの天王寺院
大阪府大阪市阿倍野区阿倍野筋1-2-30 あべのHoop4F
平日・土曜・日曜も夜20時まで診療
優しい矯正認定医が親切・丁寧に説明します。
診療時間
月〜日
9:00〜13:00/14:00〜20:00
休診日:祝日のみ

心斎橋クローバー歯科・矯正歯科
大阪市中央区心斎橋筋1-4-29 ココテラス心斎橋4F
平日・土曜も夜20時まで診療
優しい矯正認定医が親切・丁寧に説明します。
診療時間
月〜土
9:00〜13:00/14:00〜20:00
休診日:日・祝

京橋クローバー歯科・矯正歯科
大阪府大阪市都島区東野田町2-6-1
コムズガーデンB1階
平日・土曜・日曜も夜20時まで診療
優しい矯正認定医が親切・丁寧に説明します。
京橋院【矯正相談】
ご予約後メールが届きますので、メールに記載の予診票をカウンセリング前に必ずご入力ください。
わざわざ医院にお越しいただかなくてもお気軽に矯正のオンラインカウンセリングができます。
親切丁寧にご説明します。
診療時間
月〜日
9:00〜13:00/14:00〜20:00
休診日:祝日のみ

クローバー歯科・矯正歯科
豊中駅前アネックス
大阪府豊中市玉井町1-1-1 エトレ豊中4F
平日・土曜も夜20時まで診療
優しい矯正認定医が親切・丁寧に説明します。
クローバー歯科豊中駅前アネックス【矯正相談】
クローバー歯科豊中駅前アネックス【小児矯正相談(小学生以下)】
ご予約後メールが届きますので、メールに記載の予診票をカウンセリング前に必ずご入力ください。
わざわざ医院にお越しいただかなくてもお気軽に矯正のオンラインカウンセリングができます。
親切丁寧にご説明します。
診療時間
月〜土
9:00〜13:00/14:00〜20:00
休診日:日・祝

クローバー歯科・矯正歯科
豊中駅前院
大阪府豊中市玉井町1-1-1 エトレ豊中3F
平日・土曜も夜20時まで診療
優しい矯正医が親切・丁寧に説明します。
クローバー歯科豊中駅前院【大人の歯列矯正のご相談】
クローバー歯科豊中駅前院【子どもの歯列矯正のご相談】
ご予約後メールが届きますので、メールに記載の予診票をカウンセリング前に必ずご入力ください。
わざわざ医院にお越しいただかなくてもお気軽に矯正のオンラインカウンセリングができます。
親切丁寧にご説明します。
診療時間
月〜土
9:00〜13:00/14:00〜20:00
休診日:日・祝

まつもと歯科・矯正歯科(吹田本院)
大阪府吹田市山田東2-1-1
平日・土曜も夜20時まで診療
優しい矯正認定医が親切・丁寧に説明します。
まつもと歯科【矯正相談】
ご予約後メールが届きますので、メールに記載の予診票をカウンセリング前に必ずご入力ください。
わざわざ医院にお越しいただかなくてもお気軽に矯正のオンラインカウンセリングができます。
親切丁寧にご説明します。
診療時間
月〜土
9:00〜13:00/14:00〜20:00
休診日:日・祝


高槻クローバー歯科・矯正歯科
大阪府高槻市高槻町12-23 ワキタビル2階
平日・土曜も夜20時まで診療
優しい矯正認定医が親切・丁寧に説明します。
高槻院【矯正相談A】
高槻院【矯正相談B】
※相談数が多いためA・Bに分かれていますが内容は同じです。
まずAで空き状況をご確認の上、ご希望の日付がなければBもご確認ください。
高槻院【小児矯正相談(12才以下) A】
高槻院【小児矯正相談(12才以下) B】
※相談数が多いためA・Bに分かれていますが内容は同じです。
まずAで空き状況をご確認の上、ご希望の日付がなければBもご確認ください。
診療時間
月〜土
9:00〜13:00/14:00〜20:00
第2・第4日曜
9:00〜13:00/14:00〜18:00(矯正歯科のみ)
休診日:日・祝(矯正歯科のみ第2・第4日曜診療)

茨木クローバー歯科・矯正歯科
茨木市松ケ本町8-30 イオンモール茨木2階
平日・土曜も夜19時まで診療
優しい矯正認定医が親切・丁寧に説明します。
ご予約後メールが届きますので、メールに記載の予診票をカウンセリング前に必ずご入力ください。
わざわざ医院にお越しいただかなくてもお気軽に矯正のオンラインカウンセリングができます。
親切丁寧にご説明します。
診療時間
月〜土
10:00〜13:20/14:20〜19:00
休診日:日・祝

三宮クローバー歯科・矯正歯科
(ミント神戸院)
神戸市中央区雲井通7-1-1 ミント神戸15F
平日・土曜も夜20時まで診療
優しい矯正認定医が親切・丁寧に説明します。

クローバー歯科・矯正歯科
神戸マルイ院
神戸市中央区三宮町1-7-2 神戸マルイ5F
平日・土曜も夜20時まで診療
優しい矯正認定医が親切・丁寧に説明します。
クローバー歯科クリニック神戸マルイ院【矯正相談】
ご予約後メールが届きますので、メールに記載の予診票をカウンセリング前に必ずご入力ください。
わざわざ医院にお越しいただかなくてもお気軽に矯正のオンラインカウンセリングができます。
親切丁寧にご説明します。
診療時間
月〜土
11:00〜13:00/14:00〜20:00
休診日:日・祝

西宮クローバー歯科・矯正歯科
兵庫県西宮市高松町8-25
阪急西宮ガーデンズ プラス館3階
平日・土曜・日曜も夜20時まで診療
優しい矯正認定医が親切・丁寧に説明します。
西宮院【矯正相談】
西宮院【小児矯正相談(12歳以下)】
ご予約後メールが届きますので、メールに記載の予診票をカウンセリング前に必ずご入力ください。
わざわざ医院にお越しいただかなくてもお気軽に矯正のオンラインカウンセリングができます。
親切丁寧にご説明します。
診療時間
月〜日
9:00〜13:00/14:00〜20:00
休診日:祝日のみ

ただし、以下のケースは部分矯正が難しい場合があります。
この場合は、全体矯正をご提案する場合もあります。
今なら無料カウンセリングしていますのでお気軽にご予約ください。