
インビザラインの治療を希望される方はたくさんいます。でもインビザラインですきっ歯が治るのか?ワイヤーの方が治りやすいのか?気になりますよね。
結論を先に言うと、インビザラインの技術が優れた医院であれば、治ります!
マウスピース矯正(インビザライン)なら、すきっ歯を効率的に改善できます。
歯と歯の間にスペースがあるすきっ歯は、マウスピース矯正が特に得意とする症例の一つです。少しずつ歯に力を加えることで、隙間を無理なく埋めていきます。
多くの場合、歯を削る処置(IPR)を行わずに治療が可能なため、負担も少なく済みます。
さらに、比較的短期間で改善が期待できるのも魅力のひとつです。自然で美しい口元を目指しませんか?

※症例紹介の費用は掲載時点の金額です。治療費用は改定される場合がありますので、最新の料金はお問い合わせください。




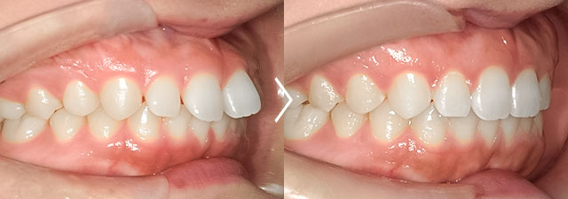
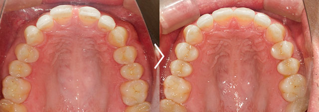
【治療内容】すきっ歯の患者さんです。インビザラインを装着し歯並びを治しました。
【費用】インビザライン 790,000円(税抜)〜
【リスク】インビザラインを1日22時間入れなければいけないため、ちゃんと入れていただけない方はちゃんと治療が進みません。





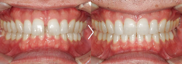
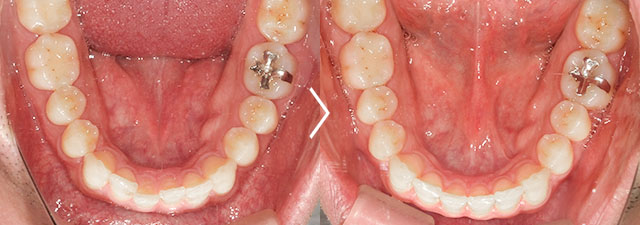
【治療内容】すきっ歯の患者さんです。インビザラインを装着し歯並びを治しました。非抜歯で治療しています。治療期間:8ヶ月
【費用】インビザライン 790,000円(税抜)〜
【リスク】インビザラインを1日22時間入れなければいけないため、ちゃんと入れていただけない方はちゃんと治療が進みません。


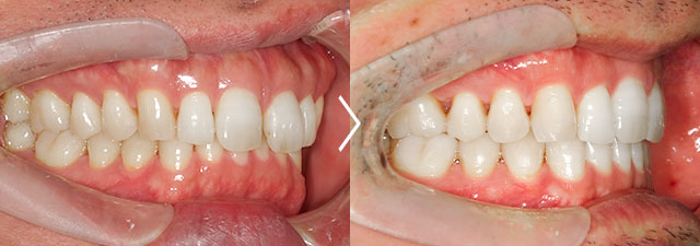
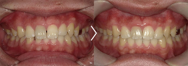
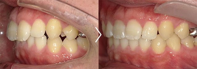
【治療内容】すきっ歯の患者さんです。インビザラインを装着し歯並びを治しました。非抜歯で治療しています。
【費用】インビザライン 790,000円(税抜)〜
【リスク】インビザラインを1日22時間入れなければいけないため、ちゃんと入れていただけない方はちゃんと治療が進みません。
▲ 矯正実績日本一の
大阪矯正歯科グループの症例です



当院は、世界的に権威のあるマウスピース矯正「インビザライン」で、最高ランクである
「パープルダイヤモンド」を受賞しています(※1500症例以上で認定/当院は2620症例)。
この実績は、日本全国でも数えるほどの医院しか取得していません。
また、グループ全体では1989年からの累計で71,294人以上の矯正治療実績があり、 2025年の“1年間”だけで初診相談に訪れた患者様は8,120人にのぼります。
経験と実績があるからこそ、あなたに合った治療方法を丁寧にご提案できます。
はじめての方も、安心してご相談ください。

大阪矯正歯科グループは、日本で最も長くインビザライン治療を提供してきた医院として、インビザライン・ジャパンならびに米国アライン・テクノロジー本社から第1位の表彰を受けました。
日本での導入初期から数多くの症例に携わってきた経験を活かし、見た目の美しさはもちろん、噛み合わせや治療後の安定性にも配慮したインビザライン治療をご提案しています。



最近は、マウスピース矯正を取り扱う医院も増えてきましたが、医院によっては対応できる治療法が限られている場合もあります。
当院では、ワイヤー矯正・マウスピース矯正・裏側矯正・部分矯正・輪郭手術(セットバック手術)など、さまざまな治療法に対応しているため、お口の状態やご希望に合わせて、最適な治療方法をご提案することが可能です。
「矯正ってこんな方法もあるんだ」と、気軽にご相談いただけるような雰囲気づくりも大切にしています。


矯正治療が長くなる原因のひとつは、予約が取りづらくて通院が伸びてしまうこと。
当院は矯正歯科医が多数在籍し、土日・夜8時まで診療しているため、予約が取りやすくスムーズに治療が進みます。
さらに、治療のスタート前から歯を動かす順番や量を精密にシミュレーション。 無駄のない動きになるように綿密な計画を立てることで、治療期間の短縮につながっています。
マウスピース矯正では、通常よりも短い間隔での交換(5日や3日ペース)を実施しており、より早く歯が動く仕組みを取り入れています。
これは「シュアスマイルVPro」という装置の高周波振動によって、歯の周りの骨の代謝を高め、痛みを抑えながら歯の動きを促進する技術があるからこそ実現できています。



矯正治療中に虫歯が見つかったり、抜歯が必要になることもありますが、多くの矯正専門医院では、そういった治療を他院に紹介されるケースが少なくありません。
当院では、虫歯治療・抜歯・歯ぐきのケアなども、すべて院内で対応できます。
矯正以外の治療もできるから、わざわざ別の病院に行く必要がなく、通院の負担も少なくて済みます。
「ここだけで全部できる」という安心感も、当院が選ばれている理由のひとつです。


土曜日も朝9時から夜8時まで診療しているので予約が取りやすいです。
万が一キャンセルなどで変更した場合も予約が取りやすいので、治療が計画通りスムーズに進みます。
※医院によって休診日・診療時間が異なります。


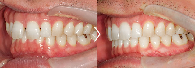
インビザラインのマウスピースに専用のホワイトニングの薬剤を入れて、歯に装着します。
そうすると、マウスピースを入れている間についでに同時に歯のホワイトニングができてしまうんです。
歯並びがキレイになって、さらに歯も白くなって本当にキレイな歯になります!
【治療内容】ホワイトニングジェルを流しこんだマウスピースを歯に装着して、歯を白くします。
【費用】ホームホワイトニング 0円
【リスク】歯が白くなっても、何もしなければ2〜3年で元に戻ります。後戻りを防ぐには専用の歯磨き剤で歯ブラシしていただく必要があります。
※ホワイトニングは保険が適用されない自由診療です
すきっ歯に関するご質問・お悩みなど、どんな小さなことでも丁寧にお答えしますので、お気軽にご相談くださいね。

医療法人真摯会 総院長
矯正歯科認定医・医学博士
松本 正洋
















国立 長崎大学歯学部卒業

松本歯科大学卒業 松本歯科大学大学院卒業

国立徳島大学歯学部卒業
2004年 国立徳島大学 歯学部 歯学科入学












クローバー歯科クリニックは、
大阪矯正歯科グループ併設の
矯正歯科クリニックです。
お電話かネットからご予約ください。
梅田クローバー歯科・矯正歯科アネックス
大阪市北区梅田1-1-3-1800 大阪駅前第3ビル18F
平日・土曜・日曜も夜20時まで診療
優しい矯正認定医が親切・丁寧に説明します。
診療時間
月〜日
9:00〜13:00/14:00〜20:00
休診日:祝日のみ
カトレア歯科矯正歯科・美容
クリニック
(クローバー歯科クリニックイーマ院)
大阪府大阪市北区梅田1-12-6 E-ma(イーマ)6階
平日・土曜も夜20時まで診療
優しい矯正認定医が親切・丁寧に説明します。
カトレア歯科矯正歯科・美容クリニック【矯正相談A】
カトレア歯科矯正歯科・美容クリニック【矯正相談B】
※相談数が多いためA・Bに分かれていますが内容は同じです。
まずAで空き状況をご確認の上、ご希望の日付がなければBもご確認ください。
美容Tel.(輪郭手術はこちらにお電話ください)
カトレア歯科矯正歯科・美容クリニック【輪郭手術相談】
診療時間
月〜土
9:00〜13:00/14:00〜20:00
休診日:日・祝
梅田クローバー歯科・矯正歯科
大阪市北区梅田1-1-3-1800 大阪駅前第3ビル18F
平日・土曜・日曜も夜20時まで診療
優しい矯正認定医が親切・丁寧に説明します。
診療時間
月〜日
9:00〜13:00/14:00〜20:00
休診日:祝日のみ
梅田茶屋町クローバー歯科・矯正歯科
大阪市北区茶屋町15-22 アーバンテラス茶屋町C棟4階
平日・土曜も夜20時まで診療
優しい矯正認定医が親切・丁寧に説明します。
なんばクローバー歯科・矯正歯科
大阪市浪速区湊町1-2-3 マルイト難波ビル3F
平日・土曜・日曜も夜20時まで診療
優しい矯正認定医が親切・丁寧に説明します。

クローバー歯科・矯正歯科
あべの天王寺院
大阪府大阪市阿倍野区阿倍野筋1-2-30 あべのHoop4F
平日・土曜・日曜も夜20時まで診療
優しい矯正認定医が親切・丁寧に説明します。
診療時間
月〜日
9:00〜13:00/14:00〜20:00
休診日:祝日のみ

心斎橋クローバー歯科・矯正歯科
大阪市中央区心斎橋筋1-4-29 ココテラス心斎橋4F
平日・土曜も夜20時まで診療
優しい矯正認定医が親切・丁寧に説明します。

京橋クローバー歯科・矯正歯科
大阪府大阪市都島区東野田町2-6-1
コムズガーデンB1階
平日・土曜・日曜も夜20時まで診療
優しい矯正認定医が親切・丁寧に説明します。

クローバー歯科・矯正歯科
豊中駅前院
大阪府豊中市玉井町1-1-1 エトレ豊中3F
平日・土曜も夜20時まで診療
優しい矯正医が親切・丁寧に説明します。
診療時間
月〜土
9:00〜13:00/14:00〜20:00
休診日:日・祝

クローバー歯科・矯正歯科
豊中駅前アネックス
大阪府豊中市玉井町1-1-1 エトレ豊中4F
平日・土曜も夜20時まで診療
優しい矯正認定医が親切・丁寧に説明します。
クローバー歯科豊中駅前アネックス【矯正相談】
クローバー歯科豊中駅前アネックス【小児矯正相談(小学生以下)】
わざわざ医院にお越しいただかなくてもお気軽に矯正のオンラインカウンセリングができます。
親切丁寧にご説明します。
診療時間
月〜土
9:00〜13:00/14:00〜20:00
休診日:日・祝

まつもと歯科・矯正歯科(吹田本院)
大阪府吹田市山田東2-1-1
平日・土曜も夜20時まで診療
優しい矯正認定医が親切・丁寧に説明します。
診療時間
月〜土
9:00〜13:00/14:00〜20:00
休診日:日・祝


高槻クローバー歯科・矯正歯科
大阪府高槻市高槻町12-23 ワキタビル2階
平日・土曜も夜20時まで診療
優しい矯正認定医が親切・丁寧に説明します。
高槻院【矯正相談A】
高槻院【矯正相談B】
※相談数が多いためA・Bに分かれていますが内容は同じです。
まずAで空き状況をご確認の上、ご希望の日付がなければBもご確認ください。
高槻院【小児矯正相談(12才以下) A】
高槻院【小児矯正相談(12才以下) B】
※相談数が多いためA・Bに分かれていますが内容は同じです。
まずAで空き状況をご確認の上、ご希望の日付がなければBもご確認ください。
診療時間
月〜土
9:00〜13:00/14:00〜20:00
第2・第4日曜
9:00〜13:00/14:00〜18:00(矯正歯科のみ)
休診日:日・祝(矯正歯科のみ第2・第4日曜診療)

茨木クローバー歯科・矯正歯科
茨木市松ケ本町8-30 イオンモール茨木2階
平日・土曜も夜19時まで診療
優しい矯正認定医が親切・丁寧に説明します。

三宮クローバー歯科・矯正歯科
(ミント神戸院)
神戸市中央区雲井通7-1-1 ミント神戸15F
平日・土曜も夜20時まで診療
優しい矯正認定医が親切・丁寧に説明します。

クローバー歯科・矯正歯科
神戸マルイ院
神戸市中央区三宮町1-7-2 神戸マルイ5F
平日・土曜も夜20時まで診療
優しい矯正認定医が親切・丁寧に説明します。

西宮クローバー歯科・矯正歯科
兵庫県西宮市高松町8-25
阪急西宮ガーデンズ プラス館3階
平日・土曜・日曜も夜20時まで診療
優しい矯正認定医が親切・丁寧に説明します。
診療時間
月〜日
9:00〜13:00/14:00〜20:00
休診日:祝日のみ
