








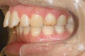
大阪市29才女性
【治療内容】
上の前歯が大きく飛び出していましたが前歯の傾斜を引っ込む方向に変えることにより歯を抜かずに治療出来ました。
【費用】ワイヤー矯正(片顎)480,000円(税抜)
【リスク】
ワイヤーを初めてつけてから1週間は少し痛いしご飯も食べにくいので気をつける必要があります。
抜歯をせずに矯正をすることによるデメリットとしては、矯正治療が終了しても数年で歯が元に戻ってしまうというケースがあります。矯正治療が終わってからは、リテーナーという透明なマウスピースをつけていただく事で歯の後戻りを防ぐことが出来ます。
※症例紹介の費用は掲載時点の金額です。治療費用は改定される場合がありますので、最新の料金はお問い合わせください。






神戸市22才女性
【治療内容】
上顎の前歯が2本大きく飛び出ているのを治したいと来院されました。
矯正治療で抜歯が必要かどうかは、歯がどの程度出ているか、歯の重なりがあるかないか等によって決まります。精密検査・診断の結果、この患者さんは非抜歯で矯正できる範囲でした。
前歯を引っ込めるために歯の表面にブラケットとワイヤーを取り付ける方法で治療を開始しました。下の歯もガタガタしていたために上顎と同じようにワイヤー矯正で治療しました。
抜歯をせずにワイヤー矯正で治す場合は、前歯の側面を0.25mm〜0.5mm削ってスペースを作り、歯を動かしていきます。これをスライス矯正といいます。エナメル質は厚さが1.5mmありますので、スライス矯正で削っても痛みはありません。
【費用】ワイヤー矯正 750,000円(税抜)
【リスク】
ワイヤーを初めてつけてから1週間は少し痛いしご飯も食べにくいので気をつける必要があります。
※症例紹介の費用は掲載時点の金額です。治療費用は改定される場合がありますので、最新の料金はお問い合わせください。

【治療内容】上顎前突の患者さんです。インビザラインを装着し歯並びを治しました。
【費用】インビザライン 790,000円(税抜)
【リスク】インビザラインを1日22時間入れなければいけないため、ちゃんと入れていただけない方はちゃんと治療が進みません。
※症例紹介の費用は掲載時点の金額です。治療費用は改定される場合がありますので、最新の料金はお問い合わせください。


【治療内容】上顎前突の患者さんです。インビザラインを装着し歯並びを治しました。
【費用】インビザライン 790,000円(税抜)
【リスク】インビザラインを1日22時間入れなければいけないため、ちゃんと入れていただけない方はちゃんと治療が進みません。
※症例紹介の費用は掲載時点の金額です。治療費用は改定される場合がありますので、最新の料金はお問い合わせください。






【治療内容】上下の歯が出ている上下前突の患者さんです。裏側矯正で歯並びを治しました。
【費用】裏側矯正(全顎)142万円(税抜)
【リスク】歯の裏側に装置をつけるので最初は少し痛くて、発音しづらい。
※症例紹介の費用は掲載時点の金額です。治療費用は改定される場合がありますので、最新の料金はお問い合わせください。






【治療内容】上下の歯が出ている上下前突の患者さんです。裏側矯正で歯並びを治しました。
【費用】裏側矯正(全顎)142万円(税抜)
【リスク】歯の裏側に装置をつけるので最初は少し痛くて、発音しづらい。
※症例紹介の費用は掲載時点の金額です。治療費用は改定される場合がありますので、最新の料金はお問い合わせください。
▲ 矯正実績日本一の
大阪矯正歯科グループの症例です

これらに基づいて、あなたに最適な治療法を丁寧にご説明します。
出っ歯の治療には、症状によって違います。
当院はあなたに合った治し方をご提案します。
など正確な診断をしてご説明します。
具体的な方法としては6つあります。6つの治療法ができる医院は全国に数軒しかありません。
「気になってるけど、何から始めればいいのかわからない…」
そんな方のために、出っ歯治療の基本的な流れをご紹介します。
無料相談からスタートできるので、
気になることを少しだけ聞いてみたいという方も大歓迎です。
LINEやお電話、WEBフォームからご予約いただけます。
ドクターが出っ歯で悩んでいる方のご希望や不安に思っていることをお聞きします。わからないことはどんどんお尋ねください。ドクターがやさしく、丁寧にご説明しますのでご安心ください。
ご希望があれば、現在のお口の状態を詳しくチェックします。
レントゲンや、CT撮影、デジタル分析などで、あなたの歯並びを徹底的に調べ、歯並びや顎の問題点を確認します。
ご希望やライフスタイルに合わせた最適な治療方法をご説明します。
検査結果をもとに、具体的な矯正歯科の方法をご提案します。マウスピースで治るのか、ワイヤーの方が良いのか、セラミックでも良いのかなど、詳しくご説明し、患者様のご希望と現在の歯や顎の状況に合わせて様々な方法から選んでいただけます。
ご納得いただいたうえで、治療をスタートします。
いよいよ開始です。新しい自分に出会うための、一歩がここから始まります。今からどんどん出っ歯が治って歯並びが良くなって行きます、楽しみにしてくださいね。歯並びが変われば人生も変わります。
具体的な、ワイヤーやマウスピースの取り扱い方などは歯科衛生士がていねいにご説明しますね。
1〜2ヶ月に約1回のペースで通院していただきます。
治療期間を経て歯並びがきれいに整ったら矯正終了です。装置を取り外してすぐは歯並びがまだ安定していませんので保定装置を付けていただきます。
出っ歯を治してキレイになった歯並びや健康な歯を保つために定期的にチェックします。
まずは、話を聞いてみるだけでも大丈夫です。
お気軽にLINEやフォームからご相談ください。



当院は、世界的に権威のあるマウスピース矯正「インビザライン」で、最高ランクである
「パープルダイヤモンド」を受賞しています(※1500症例以上で認定/当院は2620症例)。
この実績は、日本全国でも数えるほどの医院しか取得していません。
また、グループ全体では1989年からの累計で71,294人以上の矯正治療実績があり、 2025年の“1年間”だけで初診相談に訪れた患者様は8,120人にのぼります。
経験と実績があるからこそ、あなたに合った治療方法を丁寧にご提案できます。
はじめての方も、安心してご相談ください。

大阪矯正歯科グループは、日本で最も長くインビザライン治療を提供してきた医院として、インビザライン・ジャパンならびに米国アライン・テクノロジー本社から第1位の表彰を受けました。
日本での導入初期から数多くの症例に携わってきた経験を活かし、見た目の美しさはもちろん、噛み合わせや治療後の安定性にも配慮したインビザライン治療をご提案しています。



最近は、マウスピース矯正を取り扱う医院も増えてきましたが、医院によっては対応できる治療法が限られている場合もあります。
当院では、ワイヤー矯正・マウスピース矯正・裏側矯正・部分矯正・輪郭手術(セットバック手術)など、さまざまな治療法に対応しているため、お口の状態やご希望に合わせて、最適な治療方法をご提案することが可能です。
「矯正ってこんな方法もあるんだ」と、気軽にご相談いただけるような雰囲気づくりも大切にしています。


矯正治療が長くなる原因のひとつは、予約が取りづらくて通院が伸びてしまうこと。
当院は矯正歯科医が多数在籍し、土日・夜8時まで診療しているため、予約が取りやすくスムーズに治療が進みます。
さらに、治療のスタート前から歯を動かす順番や量を精密にシミュレーション。 無駄のない動きになるように綿密な計画を立てることで、治療期間の短縮につながっています。
マウスピース矯正では、通常よりも短い間隔での交換(5日や3日ペース)を実施しており、より早く歯が動く仕組みを取り入れています。
これは「シュアスマイルVPro」という装置の高周波振動によって、歯の周りの骨の代謝を高め、痛みを抑えながら歯の動きを促進する技術があるからこそ実現できています。



矯正治療中に虫歯が見つかったり、抜歯が必要になることもありますが、多くの矯正専門医院では、そういった治療を他院に紹介されるケースが少なくありません。
当院では、虫歯治療・抜歯・歯ぐきのケアなども、すべて院内で対応できます。
矯正以外の治療もできるから、わざわざ別の病院に行く必要がなく、通院の負担も少なくて済みます。
「ここだけで全部できる」という安心感も、当院が選ばれている理由のひとつです。


土曜日も朝9時から夜8時まで診療しているので予約が取りやすいです。
万が一キャンセルなどで変更した場合も予約が取りやすいので、治療が計画通りスムーズに進みます。
※医院によって休診日・診療時間が異なります。


インビザラインのマウスピースに専用のホワイトニングの薬剤を入れて、歯に装着します。
そうすると、マウスピースを入れている間についでに同時に歯のホワイトニングができてしまうんです。
歯並びがキレイになって、さらに歯も白くなって本当にキレイな歯になります!
【治療内容】ホワイトニングジェルを流しこんだマウスピースを歯に装着して、歯を白くします。
【費用】ホームホワイトニング 0円
【リスク】歯が白くなっても、何もしなければ2〜3年で元に戻ります。後戻りを防ぐには専用の歯磨き剤で歯ブラシしていただく必要があります。
※ホワイトニングは保険が適用されない自由診療です



デンタルローンにより最大120回まで の分割払いに対応したプランです。
金利手数料は実質年率3.6%とお安く設定されております。
当院独自ではありませんが、当然各種クレジットカードもご利用いただけます。

無料カウンセリング受付中
矯正するか迷っている方も、
まずは話すだけでも大丈夫。
初診相談
0円
あなたの歯並びに合う治療方法をご提案
費用や期間も、その場でわかります








マウスピース矯正(透明な取り外し式で目立たない)
| 内容 | 治療費(税抜) | ||||||||||||
|---|---|---|---|---|---|---|---|---|---|---|---|---|---|
| マウスピース部分矯正(前歯のみ) | |||||||||||||
|
【インビザラインGo】
前歯のみの矯正になります。適応かどうかは歯科医師にご相談ください。 |
【上下(前歯)】 390,000円 +消費税 分割プランはこちら
●金利3.6% 390,000円(税抜)の場合 |
||||||||||||
| マウスピース部分矯正 | |||||||||||||
|
【インビザライン イージーケース2】
気になる部分だけの矯正になりますが、前歯を多く動かす場合に適用になります。マウスピースが14枚程度の場合に行います。適応かどうかは歯科医師にご相談ください。 |
【上下(全顎)】 485,000円 +消費税 分割プランはこちら
●金利3.6% 485,000円(税抜)の場合 |
||||||||||||
| 【上か下(片顎)】 445,000円 +消費税 分割プランはこちら
●金利3.6% 445,000円(税抜)の場合 |
|||||||||||||
|
【インビザライン イージーケース3】
気になる部分だけの矯正になりますが、前歯をより多く動かす場合に適用になります。マウスピースが26枚程度の場合に行います。適応かどうかは歯科医師にご相談ください。 |
【上下(全顎)】 575,000円 +消費税 分割プランはこちら
●金利3.6% 575,000円(税抜)の場合 |
||||||||||||
| 【上か下(片顎)】 520,000円 +消費税 分割プランはこちら
●金利3.6% 520,000円(税抜)の場合 |
|||||||||||||
| インビザライン全体矯正 | 【上下(全顎)】 790,000円 +消費税 分割プランはこちら
●金利3.6% 790,000円(税抜)の場合 |
||||||||||||
![]() 【インビザライン】
透明なマウスピース型の装置を使用します。 装着などの取り外しが可能で、目立たない歯並び矯正として人気です。 |
|||||||||||||
| マウスピース・ワイヤー併用 | |||||||||||||
|
【インビザライン・ワイヤー併用】
マウスピース型の装置とワイヤーを併用して治療を行います。 |
【上下(全顎)】 860,000円 +消費税 分割プランはこちら
●金利3.6% 860,000円(税抜)の場合 |
||||||||||||
| 矯正加速装置 | |||||||||||||
![]() 【シュアスマイルVPro】
シュアスマイルVProは歯の移動を促進し、治療期間を短縮するために開発された矯正加速装置です。 |
【患者様限定価格】 ¥98,800 +消費税 |
||||||||||||
※虫歯治療や抜歯、歯のクリーニング、定期健診などの治療費用は、別途(保険診療)となります。
ワイヤーを使う矯正
※虫歯治療や抜歯、歯のクリーニング、定期健診などの治療費用は、別途(保険診療)となります。
セラミック矯正
| 内容 | 治療費(税抜) | ||||||||||||
|---|---|---|---|---|---|---|---|---|---|---|---|---|---|
| セレッククラウン | |||||||||||||
![]() 白い歯できれいですが、セレックというCAD・CAMコンピューターが作るため技工士が作った物より審美性は劣ります。変色はしません。 |
1本 ¥69,800 +消費税 分割プランはこちら
●金利3.6% 69,800円(税抜)の場合 |
||||||||||||
| オールセラミック | |||||||||||||
![]() セラミック100%の素材を使用したクラウン。強度がありますが、ジルコニアセラミックと比べると透過性が劣ります。 |
1本 ¥110,000 +消費税 分割プランはこちら
●金利3.6% 110,000円(税抜)の場合 |
||||||||||||
| ジルコニアセラミック | |||||||||||||
![]() 人工ダイアモンド素材のジルコニアセラミックでできているクラウン。天然歯のような審美性があり、透過性のあるファイバーコアを使用するとより自然です。 (土台にファイバーコアを使用する場合は¥8,000+消費税加算) |
1本 土台なし ¥140,000 +消費税 分割プランはこちら
●金利3.6% 140,000円(税抜)の場合 |
||||||||||||
子どもの矯正
| 内容 | 治療費(税抜) | ||||||||||||
|---|---|---|---|---|---|---|---|---|---|---|---|---|---|
| 子ども矯正【1期治療】 | |||||||||||||
| 管理料¥0 | |||||||||||||
![]() 【乳歯列期・混合歯列期】 |
【上下(全顎)】 ¥460,000 +消費税 分割プランはこちら
●金利3.6% 460,000円(税抜)の場合 |
||||||||||||
| インビザラインファースト【1期治療】 | |||||||||||||
| 管理料¥0 | |||||||||||||
![]() 【乳歯列期・混合歯列期】 |
¥510,000 +消費税 分割プランはこちら
●金利3.6% 510,000円(税抜)の場合 |
||||||||||||
| プレオルソ・T4Kなど | |||||||||||||
| 管理料¥0 | |||||||||||||
![]() <マウスピース型> ※乳歯列期から1期治療へ移行する場合、1期治療費を8万円減額。 |
¥160,000 +消費税 |
||||||||||||
| 子ども矯正【2期治療】 | |||||||||||||
| 管理料は大人の矯正に準じます。 | |||||||||||||
|
【永久歯列期】大人の矯正から一律40万円を減額した額となります。 |
|||||||||||||
| ムーシールド | |
| 管理料¥0 | |
![]() 【3才ごろから】 (1期治療へ移行する場合の費用は1期費用から8万円を差し引いた金額となります。) |
¥160,000 +消費税 |
矯正治療はある程度費用がかかります。
もちろん安い方が良いに決まってますが、安易に安い医院を選ぶのは危険です。
安い医院には必ず、安いなりの理由があります。






とかです。
まとめ
当院は、常に矯正治療の勉強をしていて、最先端の知識を吸収し、治療の仕上がりが良い矯正治療を行っています。
担当する歯科医師も経験をたくさん積んだ上で治療にあたっています。矯正治療の実績は断トツ日本一ですのでどうぞ安心されて下さいね。
▲当院のドクター勉強会の様子でも費用がかかると支払いができないという問題が出てきます。
そこで、当院では、治療の質を落とすことなくお支払いを楽にする独自の方法を行っています。
出っ歯はなぜ治るかというと、大きく3つあります。
1. 小臼歯という歯を抜いてできたスペースに前歯を下げてくる。
2. 上のアゴを横に広げて前歯の出てる感を減らし、かつ下のアゴを前に持ってくる。
それぞれわかりやすくご説明します。
小臼歯(前から4番目の歯)を抜歯して、そこに出来たスペースに前歯を移動させて治します。

小臼歯を抜歯すると、5mmくらいのスペースができますので、そのスペースに前歯を下げていって出っ歯を治します。
前歯が下がると上あごの骨格自体も下がります。
上下の前歯が骨格ごと下がりますので、横顔がキレイになります。
ある程度ひどい出っ歯の方の場合は、この方法が一番確実に前歯が下がります。また、かなりひどい出っ歯の方は、この方法でないとキレイに治らないです。
出っ歯の方は、上アゴが左右的(水平的)に狭くなっていて前歯が突出しやすいです。
また、下アゴが相対的に上アゴよりも後ろに下がってることがかなり多いです。
→そこで、上アゴをマウスピースで横に広げると前歯が後ろに下がります。それと同時に前歯の角度を後ろ向きに変えます。ただ、歯を抜いて矯正するほどは下がりませんので、後ろに下がってる下アゴをマウスピースで前に移動させます。
そうすると、横顔もキレイになります。
(ひどい出っ歯の方は、歯を抜く治療や手術の方が劇的に治ります)
骨格的にひどい出っ歯の方の場合は、矯正だけよりも手術をした方がより横顔がキレイに治ります。


上アゴの4番という歯を抜いて後で、前歯の6本の部分を骨ごとフリーにして、まるごと後ろに下げて留めるという手術です。
上あごセットバック手術は日帰り手術で、麻酔で寝ている間に2時間で口ゴボが治ります。
※症例紹介の費用は掲載時点の金額です。治療費用は改定される場合がありますので、最新の料金はお問い合わせください。



大阪府 19歳 男性
執刀医 辻和志
【治療内容】上下セットバック…上のアゴと下のアゴの両方が前に出ていた為、上下のアゴの骨を切って後ろに下げました。
【費用】上下セットバック 2,307,800円(税込)
【リスク】全身麻酔で行うため全身の健康状態が悪い方は行うことができません。また、手術当日は安静にしていただく必要があります。


東京都 22歳 女性
執刀医 辻和志
【治療内容】上下セットバック…上のアゴと下のアゴが前にでていたため、上下のアゴの骨を切って後ろにさげました。
【費用】上下セットバック 2,307,800円(税込)
【リスク】全身麻酔で行うため全身の健康状態が悪い方は行うことができません。また、手術当日は安静にしていただく必要があります。

執刀医 辻和志
【治療内容】上下セットバック…上のアゴと下のアゴが前にでていたため、上下のアゴの骨を切って後ろにさげました。
【費用】上下セットバック 2,307,800円(税込)
【リスク】全身麻酔で行うため全身の健康状態が悪い方は行うことができません。また、手術当日は安静にしていただく必要があります。

執刀医 辻和志
【治療内容】上下セットバック…上のアゴと下のアゴが前にでていたため、上下のアゴの骨を切って後ろにさげました。
【費用】上下セットバック 2,307,800円(税込)
【リスク】全身麻酔で行うため全身の健康状態が悪い方は行うことができません。また、手術当日は安静にしていただく必要があります。

大阪府 24歳 女性
執刀医 辻和志
【治療内容】上下セットバック…上のアゴと下のアゴが前にでていたため、上下のアゴの骨を切って後ろにさげました。
【費用】上下セットバック 2,307,800円(税込)
【リスク】全身麻酔で行うため全身の健康状態が悪い方は行うことができません。また、手術当日は安静にしていただく必要があります。
出っ歯に関するご質問・お悩みなど、どんな小さなことでも丁寧にお答えしますので、お気軽にご相談くださいね。

医療法人真摯会 総院長
矯正歯科認定医・医学博士
松本 正洋
















国立 長崎大学歯学部卒業

松本歯科大学卒業 松本歯科大学大学院卒業

国立徳島大学歯学部卒業
2004年 国立徳島大学 歯学部 歯学科入学












クローバー歯科クリニックは、
大阪矯正歯科グループ併設の
矯正歯科クリニックです。
お電話かネットからご予約ください。
梅田クローバー歯科・矯正歯科アネックス
大阪市北区梅田1-1-3-1800 大阪駅前第3ビル18F
平日・土曜・日曜も夜20時まで診療
優しい矯正認定医が親切・丁寧に説明します。
梅田クローバー歯科・矯正歯科アネックス【矯正相談】
梅田クローバー歯科・矯正歯科アネックス【小児矯正相談(12歳以下)】
ご予約後メールが届きますので、メールに記載の予診票をカウンセリング前に必ずご入力ください。
わざわざ医院にお越しいただかなくてもお気軽に矯正のオンラインカウンセリングができます。
親切丁寧にご説明します。
診療時間
月〜日
9:00〜13:00/14:00〜20:00
休診日:祝日のみ
梅田茶屋町クローバー歯科・矯正歯科
大阪市北区茶屋町15-22 アーバンテラス茶屋町C棟4階
平日・土曜も夜20時まで診療
優しい矯正認定医が親切・丁寧に説明します。
ご予約後メールが届きますので、メールに記載の予診票をカウンセリング前に必ずご入力ください。
わざわざ医院にお越しいただかなくてもお気軽に矯正のオンラインカウンセリングができます。
親切丁寧にご説明します。
診療時間
月〜土
9:00〜13:00/14:00〜20:00
休診日:日・祝
カトレア歯科矯正歯科・美容
クリニック
(クローバー歯科クリニックイーマ院)
大阪府大阪市北区梅田1-12-6 E-ma(イーマ)6階
平日・土曜も夜20時まで診療
優しい矯正認定医が親切・丁寧に説明します。
カトレア歯科矯正歯科・美容クリニック【矯正相談A】
カトレア歯科矯正歯科・美容クリニック【矯正相談B】
※相談数が多いためA・Bに分かれていますが内容は同じです。
まずAで空き状況をご確認の上、ご希望の日付がなければBもご確認ください。
ご予約後メールが届きますので、メールに記載の予診票をカウンセリング前に必ずご入力ください。
わざわざ医院にお越しいただかなくてもお気軽に矯正のオンラインカウンセリングができます。
親切丁寧にご説明します。
美容Tel.(輪郭手術はこちらにお電話ください)
カトレア歯科矯正歯科・美容クリニック【輪郭手術相談】
診療時間
月〜土
9:00〜13:00/14:00〜20:00
休診日:日・祝
梅田クローバー歯科・矯正歯科
大阪市北区梅田1-1-3-1800 大阪駅前第3ビル18F
平日・土曜・日曜も夜20時まで診療
優しい矯正認定医が親切・丁寧に説明します。
梅田クローバー歯科クリニック【矯正相談】
梅田クローバー歯科クリニック【小児矯正相談(12歳以下)】
ご予約後メールが届きますので、メールに記載の予診票をカウンセリング前に必ずご入力ください。
わざわざ医院にお越しいただかなくてもお気軽に矯正のオンラインカウンセリングができます。
親切丁寧にご説明します。
診療時間
月〜日
9:00〜13:00/14:00〜20:00
休診日:祝日のみ
なんばクローバー歯科・矯正歯科
大阪市浪速区湊町1-2-3 マルイト難波ビル3F
平日・土曜・日曜も夜20時まで診療
優しい矯正認定医が親切・丁寧に説明します。
ご予約後メールが届きますので、メールに記載の予診票をカウンセリング前に必ずご入力ください。
わざわざ医院にお越しいただかなくてもお気軽に矯正のオンラインカウンセリングができます。
親切丁寧にご説明します。
診療時間
月〜日
9:00〜13:00/14:00〜20:00
休診日:祝日のみ

クローバー歯科・矯正歯科
あべの天王寺院
大阪府大阪市阿倍野区阿倍野筋1-2-30 あべのHoop4F
平日・土曜・日曜も夜20時まで診療
優しい矯正認定医が親切・丁寧に説明します。
診療時間
月〜日
9:00〜13:00/14:00〜20:00
休診日:祝日のみ

心斎橋クローバー歯科・矯正歯科
大阪市中央区心斎橋筋1-4-29 ココテラス心斎橋4F
平日・土曜も夜20時まで診療
優しい矯正認定医が親切・丁寧に説明します。
診療時間
月〜土
9:00〜13:00/14:00〜20:00
休診日:日・祝

京橋クローバー歯科・矯正歯科
大阪府大阪市都島区東野田町2-6-1
コムズガーデンB1階
平日・土曜・日曜も夜20時まで診療
優しい矯正認定医が親切・丁寧に説明します。
京橋院【矯正相談】
ご予約後メールが届きますので、メールに記載の予診票をカウンセリング前に必ずご入力ください。
わざわざ医院にお越しいただかなくてもお気軽に矯正のオンラインカウンセリングができます。
親切丁寧にご説明します。
診療時間
月〜日
9:00〜13:00/14:00〜20:00
休診日:祝日のみ

クローバー歯科・矯正歯科
豊中駅前院
大阪府豊中市玉井町1-1-1 エトレ豊中3F
平日・土曜も夜20時まで診療
優しい矯正医が親切・丁寧に説明します。
クローバー歯科豊中駅前院【大人の歯列矯正のご相談】
クローバー歯科豊中駅前院【子どもの歯列矯正のご相談】
ご予約後メールが届きますので、メールに記載の予診票をカウンセリング前に必ずご入力ください。
わざわざ医院にお越しいただかなくてもお気軽に矯正のオンラインカウンセリングができます。
親切丁寧にご説明します。
診療時間
月〜土
9:00〜13:00/14:00〜20:00
休診日:日・祝

クローバー歯科・矯正歯科
豊中駅前アネックス
大阪府豊中市玉井町1-1-1 エトレ豊中4F
平日・土曜も夜20時まで診療
優しい矯正認定医が親切・丁寧に説明します。
クローバー歯科豊中駅前アネックス【矯正相談】
クローバー歯科豊中駅前アネックス【小児矯正相談(小学生以下)】
ご予約後メールが届きますので、メールに記載の予診票をカウンセリング前に必ずご入力ください。
わざわざ医院にお越しいただかなくてもお気軽に矯正のオンラインカウンセリングができます。
親切丁寧にご説明します。
診療時間
月〜土
9:00〜13:00/14:00〜20:00
休診日:日・祝

まつもと歯科・矯正歯科(吹田本院)
大阪府吹田市山田東2-1-1
平日・土曜も夜20時まで診療
優しい矯正認定医が親切・丁寧に説明します。
まつもと歯科【矯正相談】
ご予約後メールが届きますので、メールに記載の予診票をカウンセリング前に必ずご入力ください。
わざわざ医院にお越しいただかなくてもお気軽に矯正のオンラインカウンセリングができます。
親切丁寧にご説明します。
診療時間
月〜土
9:00〜13:00/14:00〜20:00
休診日:日・祝


高槻クローバー歯科・矯正歯科
大阪府高槻市高槻町12-23 ワキタビル2階
平日・土曜も夜20時まで診療
優しい矯正認定医が親切・丁寧に説明します。
高槻院【矯正相談A】
高槻院【矯正相談B】
※相談数が多いためA・Bに分かれていますが内容は同じです。
まずAで空き状況をご確認の上、ご希望の日付がなければBもご確認ください。
高槻院【小児矯正相談(12才以下) A】
高槻院【小児矯正相談(12才以下) B】
※相談数が多いためA・Bに分かれていますが内容は同じです。
まずAで空き状況をご確認の上、ご希望の日付がなければBもご確認ください。
診療時間
月〜土
9:00〜13:00/14:00〜20:00
第2・第4日曜
9:00〜13:00/14:00〜18:00(矯正歯科のみ)
休診日:日・祝(矯正歯科のみ第2・第4日曜診療)

茨木クローバー歯科・矯正歯科
茨木市松ケ本町8-30 イオンモール茨木2階
平日・土曜も夜19時まで診療
優しい矯正認定医が親切・丁寧に説明します。
茨木院【矯正相談(平日)】
茨木院【矯正相談(土曜日)】
ご予約後メールが届きますので、メールに記載の予診票をカウンセリング前に必ずご入力ください。
わざわざ医院にお越しいただかなくてもお気軽に矯正のオンラインカウンセリングができます。
親切丁寧にご説明します。
診療時間
月〜土
10:00〜13:20/14:20〜19:00
休診日:日・祝

三宮クローバー歯科・矯正歯科
(ミント神戸院)
神戸市中央区雲井通7-1-1 ミント神戸15F
平日・土曜も夜20時まで診療
優しい矯正認定医が親切・丁寧に説明します。

クローバー歯科・矯正歯科
神戸マルイ院
神戸市中央区三宮町1-7-2 神戸マルイ5F
平日・土曜も夜20時まで診療
優しい矯正認定医が親切・丁寧に説明します。
クローバー歯科クリニック神戸マルイ院【矯正相談】
ご予約後メールが届きますので、メールに記載の予診票をカウンセリング前に必ずご入力ください。
わざわざ医院にお越しいただかなくてもお気軽に矯正のオンラインカウンセリングができます。
親切丁寧にご説明します。
診療時間
月〜土
11:00〜13:00/14:00〜20:00
休診日:日・祝

西宮クローバー歯科・矯正歯科
兵庫県西宮市高松町8-25
阪急西宮ガーデンズ プラス館3階
平日・土曜・日曜も夜20時まで診療
優しい矯正認定医が親切・丁寧に説明します。
西宮院【矯正相談】
西宮院【小児矯正相談(12歳以下)】
ご予約後メールが届きますので、メールに記載の予診票をカウンセリング前に必ずご入力ください。
わざわざ医院にお越しいただかなくてもお気軽に矯正のオンラインカウンセリングができます。
親切丁寧にご説明します。
診療時間
月〜日
9:00〜13:00/14:00〜20:00
休診日:祝日のみ

ただ、正確な診断は、実際に前歯、奥歯、お顔(横顔)も見ないと分かりません。
さらに、3Dシミュレーションで、治療後の状態をお見せすることができますので大変わかりやすいです。
今なら無料カウンセリングしていますのでお気軽にご予約ください。
相談だけでも大歓迎です
他院との比較も問題ありません