

















▲ 矯正実績日本一の
大阪矯正歯科グループの症例です
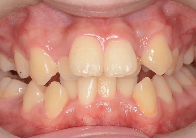
歯が重なってるのが、本当にキレイに治るのか心配な方は多いですよね!
当院は歯の重なりを治すのが大変得意な医院です。親切ていねいなご説明をしますので、お気軽にご相談くださいね。
これらの方法が適してるのは、
以下の4つの方法になります。
ドクターが叢生・乱杭歯・ガタガタ歯で悩んでいる方のご希望や不安に思っていることをお聞きします。わからないことはどんどんお尋ねください。優しいドクターが凄くていねいにご説明します。
レントゲンや、CT撮影、デジタル分析などで、あなたの歯並びを徹底的に調べ、歯並びや顎の問題点を確認します。
検査結果をもとに、具体的な矯正歯科の方法をご提案します。マウスピースで治るのか、ワイヤーの方が良いのか、セラミックでも良いのかなど、詳しくご説明し、患者様のご希望と現在の歯や顎の状況に合わせて様々な方法から選んでいただけます。
いよいよ開始です。わくわくする矯正の開始です。今からどんどん叢生・乱杭歯・ガタガタ歯が治って歯並びが良くなって行きます、楽しみにしてくださいね。歯並びが変われば人生も変わります。
具体的な、ワイヤーやマウスピースの取り扱い方などは歯科衛生士がていねいにご説明しますね。
1〜2ヶ月に約1回のペースで通院していただきます。
治療期間を経て歯並びがきれいに整ったら矯正終了です。装置を取り外してすぐは歯並びがまだ安定していませんので保定装置を付けていただきます。
叢生・乱杭歯・ガタガタ歯を治してキレイになった歯並びや健康な歯を保つために定期的にチェックします。



デンタルローンにより最大120回まで の分割払いに対応したプランです。
金利手数料は実質年率3.6%とお安く設定されております。
当院独自ではありませんが、当然各種クレジットカードもご利用いただけます。











無料カウンセリング受付中
矯正するか迷っている方も、
まずは話すだけでも大丈夫。
初診相談
0円
あなたの歯並びに合う治療方法をご提案
費用や期間も、その場でわかります
ワイヤーを使った八重歯・ガタガタ矯正
| 内容 | 治療費(税抜) | ||||||||||||
|---|---|---|---|---|---|---|---|---|---|---|---|---|---|
| 部分矯正(MTM) | |||||||||||||
部分矯正(銀色のワイヤー) |
【上か下(片顎)】 (前歯4〜8歯のみ) 260,000円 +消費税 分割プランはこちら
●金利3.6% 260,000円(税抜)の場合 |
||||||||||||
部分矯正(ホワイトワイヤー) |
【上か下(片顎)】 (前歯4〜8歯のみ) 280,000円 +消費税 分割プランはこちら
●金利3.6% 280,000円(税抜)の場合 |
||||||||||||
部分矯正(裏側矯正) |
【上か下(片顎)】 (前歯4〜8歯のみ) 490,000円 +消費税 分割プランはこちら
●金利3.6% 490,000円(税抜)の場合 |
||||||||||||
| ワイヤー矯正(普通矯正) | |||||||||||||
![]() 【表側矯正】 |
【上下(全顎)】 750,000円 +消費税 分割プランはこちら
●金利3.6% 750,000円(税抜)の場合 |
||||||||||||
| 【上か下(片顎)】 480,000円 +消費税 分割プランはこちら
●金利3.6% 480,000円(税抜)の場合 |
|||||||||||||
| ホワイトワイヤー矯正 | |||||||||||||
![]() 【表側矯正】 |
【上下(全顎)】 795,000円 +消費税 分割プランはこちら
●金利3.6% 795,000円(税抜)の場合 |
||||||||||||
| 【上か下(片顎)】 490,000円 +消費税 分割プランはこちら
●金利3.6% 490,000円(税抜)の場合 |
|||||||||||||
| <オプション>インダイレクトボンディング | |||||||||||||
![]() 【オプション】 |
【上下(全顎)】 ¥60,000 +消費税 |
||||||||||||
| 【上か下(片顎)】 ¥30,000 +消費税 |
|||||||||||||
※虫歯治療や抜歯、歯のクリーニング、定期健診などの治療費用は、別途(保険診療)となります。
マウスピース矯正(透明な取り外し式で目立たない八重歯・ガタガタ矯正)
| 内容 | 治療費(税抜) | ||||||||||||
|---|---|---|---|---|---|---|---|---|---|---|---|---|---|
| マウスピース部分矯正(前歯のみ) | |||||||||||||
|
【インビザラインGo】
前歯のみの矯正になります。適応かどうかは歯科医師にご相談ください。 |
【上下(前歯)】 390,000円 +消費税 分割プランはこちら
●金利3.6% 390,000円(税抜)の場合 |
||||||||||||
| マウスピース部分矯正 | |||||||||||||
|
【インビザライン イージーケース2】
気になる部分だけの矯正になりますが、前歯を多く動かす場合に適用になります。マウスピースが14枚程度の場合に行います。適応かどうかは歯科医師にご相談ください。 |
【上下(全顎)】 485,000円 +消費税 分割プランはこちら
●金利3.6% 485,000円(税抜)の場合 |
||||||||||||
| 【上か下(片顎)】 445,000円 +消費税 分割プランはこちら
●金利3.6% 445,000円(税抜)の場合 |
|||||||||||||
|
【インビザライン イージーケース3】
気になる部分だけの矯正になりますが、前歯をより多く動かす場合に適用になります。マウスピースが26枚程度の場合に行います。適応かどうかは歯科医師にご相談ください。 |
【上下(全顎)】 575,000円 +消費税 分割プランはこちら
●金利3.6% 575,000円(税抜)の場合 |
||||||||||||
| 【上か下(片顎)】 520,000円 +消費税 分割プランはこちら
●金利3.6% 520,000円(税抜)の場合 |
|||||||||||||
| インビザライン全体矯正 | 【上下(全顎)】 790,000円 +消費税 分割プランはこちら
●金利3.6% 790,000円(税抜)の場合 |
||||||||||||
![]() 【インビザライン】
透明なマウスピース型の装置を使用します。 装着などの取り外しが可能で、目立たない歯並び矯正として人気です。 |
|||||||||||||
| マウスピース・ワイヤー併用 | |||||||||||||
|
【インビザライン・ワイヤー併用】
マウスピース型の装置とワイヤーを併用して治療を行います。 |
【上下(全顎)】 860,000円 +消費税 分割プランはこちら
●金利3.6% 860,000円(税抜)の場合 |
||||||||||||
| 矯正加速装置 | |||||||||||||
![]() 【シュアスマイルVPro】
シュアスマイルVProは歯の移動を促進し、治療期間を短縮するために開発された矯正加速装置です。 |
【患者様限定価格】 ¥98,800 +消費税 |
||||||||||||
※虫歯治療や抜歯、歯のクリーニング、定期健診などの治療費用は、別途(保険診療)となります。
八重歯・ガタガタのセラミック矯正
| 内容 | 治療費(税抜) | ||||||||||||
|---|---|---|---|---|---|---|---|---|---|---|---|---|---|
| セレッククラウン | |||||||||||||
![]() 白い歯できれいですが、セレックというCAD・CAMコンピューターが作るため技工士が作った物より審美性は劣ります。変色はしません。 |
1本 ¥69,800 +消費税 分割プランはこちら
●金利3.6% 69,800円(税抜)の場合 |
||||||||||||
| オールセラミック | |||||||||||||
![]() セラミック100%の素材を使用したクラウン。強度がありますが、ジルコニアセラミックと比べると透過性が劣ります。 |
1本 ¥100,000 +消費税 分割プランはこちら
●金利3.6% 100,000円(税抜)の場合 |
||||||||||||
| ジルコニアセラミック | |||||||||||||
![]() 人工ダイアモンド素材のジルコニアセラミックでできているクラウン。天然歯のような審美性があり、透過性のあるファイバーコアを使用するとより自然です。 (土台にファイバーコアを使用する場合は¥8,000+消費税加算) |
1本 土台なし ¥140,000 +消費税 分割プランはこちら
●金利3.6% 140,000円(税抜)の場合 |
||||||||||||
子どもの矯正
| 内容 | 治療費(税抜) | ||||||||||||
|---|---|---|---|---|---|---|---|---|---|---|---|---|---|
| 子ども矯正【1期治療】 | |||||||||||||
| 管理料¥0 | |||||||||||||
![]() 【乳歯列期・混合歯列期】 |
【上下(全顎)】 ¥460,000 +消費税 分割プランはこちら
●金利3.6% 460,000円(税抜)の場合 |
||||||||||||
| インビザラインファースト【1期治療】 | |||||||||||||
| 管理料¥0 | |||||||||||||
![]() 【乳歯列期・混合歯列期】 |
¥510,000 +消費税 分割プランはこちら
●金利3.6% 510,000円(税抜)の場合 |
||||||||||||
| プレオルソ・T4Kなど | |||||||||||||
| 管理料¥0 | |||||||||||||
![]() <マウスピース型> ※乳歯列期から1期治療へ移行する場合、1期治療費を8万円減額。 |
¥160,000 +消費税 |
||||||||||||
| 子ども矯正【2期治療】 | |||||||||||||
| 管理料は大人の矯正に準じます。 | |||||||||||||
|
【永久歯列期】大人の矯正から一律40万円を減額した額となります。 |
|||||||||||||
| ムーシールド | |
| 管理料¥0 | |
![]() 【3才ごろから】 (1期治療へ移行する場合の費用は1期費用から8万円を差し引いた金額となります。) |
¥160,000 +消費税 |
矯正治療はある程度費用がかかります。
もちろん安い方が良いに決まってますが、安易に安い医院を選ぶのは危険です。
安い医院には必ず、安いなりの理由があります。






とかです。
まとめ
当院は、常に矯正治療の勉強をしていて、最先端の知識を吸収し、治療の仕上がりが良い矯正治療を行っています。
担当する歯科医師も経験をたくさん積んだ上で治療にあたっています。矯正治療の実績は断トツ日本一ですのでどうぞ安心されて下さいね。
▲当院のドクター勉強会の様子でも費用がかかると支払いができないという問題が出てきます。
そこで、当院では、治療の質を落とすことなくお支払いを楽にする独自の方法を行っています。



当院は、世界的に権威のあるマウスピース矯正「インビザライン」で、最高ランクである
「パープルダイヤモンド」を受賞しています(※1500症例以上で認定/当院は2620症例)。
この実績は、日本全国でも数えるほどの医院しか取得していません。
また、グループ全体では1989年からの累計で71,294人以上の矯正治療実績があり、 2025年の“1年間”だけで初診相談に訪れた患者様は8,120人にのぼります。
経験と実績があるからこそ、あなたに合った治療方法を丁寧にご提案できます。
はじめての方も、安心してご相談ください。

大阪矯正歯科グループは、日本で最も長くインビザライン治療を提供してきた医院として、インビザライン・ジャパンならびに米国アライン・テクノロジー本社から第1位の表彰を受けました。
日本での導入初期から数多くの症例に携わってきた経験を活かし、見た目の美しさはもちろん、噛み合わせや治療後の安定性にも配慮したインビザライン治療をご提案しています。



最近は、マウスピース矯正を取り扱う医院も増えてきましたが、医院によっては対応できる治療法が限られている場合もあります。
当院では、ワイヤー矯正・マウスピース矯正・裏側矯正・部分矯正・輪郭手術(セットバック手術)など、さまざまな治療法に対応しているため、お口の状態やご希望に合わせて、最適な治療方法をご提案することが可能です。
「矯正ってこんな方法もあるんだ」と、気軽にご相談いただけるような雰囲気づくりも大切にしています。


矯正治療が長くなる原因のひとつは、予約が取りづらくて通院が伸びてしまうこと。
当院は矯正歯科医が多数在籍し、土日・夜8時まで診療しているため、予約が取りやすくスムーズに治療が進みます。
さらに、治療のスタート前から歯を動かす順番や量を精密にシミュレーション。 無駄のない動きになるように綿密な計画を立てることで、治療期間の短縮につながっています。
マウスピース矯正では、通常よりも短い間隔での交換(5日や3日ペース)を実施しており、より早く歯が動く仕組みを取り入れています。
これは「シュアスマイルVPro」という装置の高周波振動によって、歯の周りの骨の代謝を高め、痛みを抑えながら歯の動きを促進する技術があるからこそ実現できています。



矯正治療中に虫歯が見つかったり、抜歯が必要になることもありますが、多くの矯正専門医院では、そういった治療を他院に紹介されるケースが少なくありません。
当院では、虫歯治療・抜歯・歯ぐきのケアなども、すべて院内で対応できます。
矯正以外の治療もできるから、わざわざ別の病院に行く必要がなく、通院の負担も少なくて済みます。
「ここだけで全部できる」という安心感も、当院が選ばれている理由のひとつです。


土曜日も朝9時から夜8時まで診療しているので予約が取りやすいです。
万が一キャンセルなどで変更した場合も予約が取りやすいので、治療が計画通りスムーズに進みます。
※医院によって休診日・診療時間が異なります。


インビザラインのマウスピースに専用のホワイトニングの薬剤を入れて、歯に装着します。
そうすると、マウスピースを入れている間についでに同時に歯のホワイトニングができてしまうんです。
歯並びがキレイになって、さらに歯も白くなって本当にキレイな歯になります!
【治療内容】ホワイトニングジェルを流しこんだマウスピースを歯に装着して、歯を白くします。
【費用】ホームホワイトニング 0円
【リスク】歯が白くなっても、何もしなければ2〜3年で元に戻ります。後戻りを防ぐには専用の歯磨き剤で歯ブラシしていただく必要があります。
※ホワイトニングは保険が適用されない自由診療です
叢生・乱杭歯・ガタガタ歯はお口が小さいために、歯が並びきらずに飛び出てしまうことによって起こります。なので、治す方法は
の3つになります。
それぞれご説明します。
歯の重なりがきつい場合は、糸切り歯(八重歯)のとなりの歯(小臼歯)を抜いて、その結果できたスペースに八重歯を移動させて治します。


歯を抜くということは、患者さんにとってはすごくデメリットに感じるかもしれませんが、歯の重なりがきつい場合に歯を抜かずに矯正すると、出っ歯になってしまい、かえっておかしくなります。
また、歯を抜いたとしてもその結果、歯並びが良くなりますので、咬む能率が上がり、むし歯や歯周病にもなりにくくなります。

歯の重なりの程度があまりきつくない場合は、歯を抜く必要はありません。ただ、そのままで矯正して歯を並べてしまうと出っ歯になってしまうので、1本1本の歯の横幅を減らす必要があります。

スライスといって、歯の両サイドを0.2〜0.5mmくらい削ります。前歯6本についてスライスを行うと、結構スペースを得ることができます。
スライスした後で、矯正を行います。

子供さんの場合はお口(アゴ)を大きくして八重歯を治す事も可能です。
子供さんの叢生・乱杭歯・ガタガタ歯につきましては、こちらをご覧下さい。
前歯が生えてくるのは6才くらいからです。その時に歯が重なって生えてきた時は、歯を抜かずにあごの骨を大きくすることで治せる場合が多いです。
小児矯正では、治療を始める時期によって方法や値段が変わりますので、まずはご相談下さいね。









叢生・乱杭歯とは歯が重なって生えていたり、ガタガタで不揃いに生えている状態の歯並びです。

原因としては元々あごが小さかった、元々歯が大きかった、乳歯の頃の虫歯、虫歯により早期に乳歯がなくなった、あごが十分に発達できなかったことなどがあります。
現代人の食生活は昔に比べて柔らかいものが多くなったため、咬まなくなったこともあごの発達に悪い影響を与えていると考えられています。

叢生・乱杭歯の根本的な原因はお口が小さいことです。お口が小さい為に全ての歯が並び切ることができずに結果的に歯が飛び出してしまうんです。
お口が小さくなる原因はたくさんあります。柔らかい食べ物ばかり食べて育つことはもちろんですが、離乳が遅れたり、おしゃぶりを長く使ってる子どもさんは、ほっぺたの筋肉がいつも緊張していてそれによってあごの骨を圧迫してあごの成長を阻害します。
また、犬歯の永久歯への生え変わりが遅くなった場合に、狭いスペースに犬歯が収まりきらずに前上方にずれて生えてしまったせいで叢生・乱杭歯になってしまうこともあります。
また、乳歯の奥歯に多くの虫歯があった場合、虫歯で歯が減った分だけ乳歯の位置が前に来てしまい、歯が生えるスペースがなくなります。
更には乳歯を早期に抜歯したりした場合にも同じことが起こります。

歯が重なっている部分に歯ブラシが届きにくく、歯磨きがしにくいので虫歯や歯周病になりやすくなります。
歯がでこぼこしていると正しく咬み合わなかったり、食べ物を噛み砕くことができなかったりします。前歯は食べ物を咬み切る役目があり、奥歯には食べ物をすりつぶすという役目があります。
それぞれがバランスよく使われないと負担が偏ってしまい、負担の大きい歯は寿命が短くなってしまう可能性もあります。
治療期間は症状によって変わってきます。
一般的に2年くらいかかります。歯が動きやすい方は早ければ1年半くらいで治る時もありますし、動きにくい方は2年半以上かかる可能性もあり得ます。
歯の重なりの程度にもよりますが、目安として前歯全体の歯の重なりの量が、
軽度・・・おおむね前歯の重なり具合が全体で3mmくらいまでの場合です。⇒半年から1年くらい
中度・・・おおむね前歯の重なり具合が全体で5mmくらいまでの場合です。⇒1年くらい
重度・・・おおむね前歯の重なり具合が全体で7mmくらいまでの場合です。⇒1年から1年半くらい
になります。これも目安であり、個人差があります。

叢生・乱杭歯治療では抜歯をする方法と抜歯しない方法があります。
当院では、なるべく抜かない方法で治療を考えています。
ただ、歯を抜くかどうかは、前歯の重なりがどのくらいの程度なのかによります。
例えば、前歯がすごく重なってる方の場合は歯を抜かなければいけません。またすごく八重歯がすごくきつい方も歯を抜かなければいけません。
もちろんなるべく抜かない治療法をいつも考えていますので、抜かなくていける場合も多いです。 抜歯は大変だし大切な歯を抜きたくないと思われるかもしれませんが、抜歯した方が見た目も含めて機能的にも良い場合も多いです。
叢生・乱杭歯に関するご質問・お悩みなど、どんな小さなことでも丁寧にお答えしますので、お気軽にご相談くださいね。

医療法人真摯会 総院長
矯正歯科認定医・医学博士
松本 正洋
















国立 長崎大学歯学部卒業

松本歯科大学卒業 松本歯科大学大学院卒業

国立徳島大学歯学部卒業
2004年 国立徳島大学 歯学部 歯学科入学












クローバー歯科クリニックは、
大阪矯正歯科グループ併設の
矯正歯科クリニックです。
お電話かネットからご予約ください。
梅田クローバー歯科・矯正歯科アネックス
大阪市北区梅田1-1-3-1800 大阪駅前第3ビル18F
平日・土曜・日曜も夜20時まで診療
優しい矯正認定医が親切・丁寧に説明します。
診療時間
月〜日
9:00〜13:00/14:00〜20:00
休診日:祝日のみ
梅田クローバー歯科・矯正歯科
大阪市北区梅田1-1-3-1800 大阪駅前第3ビル18F
平日・土曜・日曜も夜20時まで診療
優しい矯正認定医が親切・丁寧に説明します。
診療時間
月〜日
9:00〜13:00/14:00〜20:00
休診日:祝日のみ
カトレア歯科矯正歯科・美容
クリニック
(クローバー歯科クリニックイーマ院)
大阪府大阪市北区梅田1-12-6 E-ma(イーマ)6階
平日・土曜も夜20時まで診療
優しい矯正認定医が親切・丁寧に説明します。
カトレア歯科矯正歯科・美容クリニック【矯正相談A】
カトレア歯科矯正歯科・美容クリニック【矯正相談B】
※相談数が多いためA・Bに分かれていますが内容は同じです。
まずAで空き状況をご確認の上、ご希望の日付がなければBもご確認ください。
美容Tel.(輪郭手術はこちらにお電話ください)
カトレア歯科矯正歯科・美容クリニック【輪郭手術相談】
診療時間
月〜土
9:00〜13:00/14:00〜20:00
休診日:日・祝
梅田茶屋町クローバー歯科・矯正歯科
大阪市北区茶屋町15-22 アーバンテラス茶屋町C棟4階
平日・土曜も夜20時まで診療
優しい矯正認定医が親切・丁寧に説明します。
なんばクローバー歯科・矯正歯科
大阪市浪速区湊町1-2-3 マルイト難波ビル3F
平日・土曜・日曜も夜20時まで診療
優しい矯正認定医が親切・丁寧に説明します。

クローバー歯科・矯正歯科
あべの天王寺院
大阪府大阪市阿倍野区阿倍野筋1-2-30 あべのHoop4F
平日・土曜・日曜も夜20時まで診療
優しい矯正認定医が親切・丁寧に説明します。
診療時間
月〜日
9:00〜13:00/14:00〜20:00
休診日:祝日のみ

心斎橋クローバー歯科・矯正歯科
大阪市中央区心斎橋筋1-4-29 ココテラス心斎橋4F
平日・土曜も夜20時まで診療
優しい矯正認定医が親切・丁寧に説明します。
診療時間
月〜土
9:00〜13:00/14:00〜20:00
休診日:日・祝

京橋クローバー歯科・矯正歯科
大阪府大阪市都島区東野田町2-6-1
コムズガーデンB1階
平日・土曜・日曜も夜20時まで診療
優しい矯正認定医が親切・丁寧に説明します。

クローバー歯科・矯正歯科
豊中駅前アネックス
大阪府豊中市玉井町1-1-1 エトレ豊中4F
平日・土曜も夜20時まで診療
優しい矯正認定医が親切・丁寧に説明します。
クローバー歯科豊中駅前アネックス【矯正相談】
クローバー歯科豊中駅前アネックス【小児矯正相談(小学生以下)】
わざわざ医院にお越しいただかなくてもお気軽に矯正のオンラインカウンセリングができます。
親切丁寧にご説明します。
診療時間
月〜土
9:00〜13:00/14:00〜20:00
休診日:日・祝

クローバー歯科・矯正歯科
豊中駅前院
大阪府豊中市玉井町1-1-1 エトレ豊中3F
平日・土曜も夜20時まで診療
優しい矯正医が親切・丁寧に説明します。
診療時間
月〜土
9:00〜13:00/14:00〜20:00
休診日:日・祝

まつもと歯科・矯正歯科(吹田本院)
大阪府吹田市山田東2-1-1
平日・土曜も夜20時まで診療
優しい矯正認定医が親切・丁寧に説明します。
診療時間
月〜土
9:00〜13:00/14:00〜20:00
休診日:日・祝


高槻クローバー歯科・矯正歯科
大阪府高槻市高槻町12-23 ワキタビル2階
平日・土曜も夜20時まで診療
優しい矯正認定医が親切・丁寧に説明します。
高槻院【矯正相談A】
高槻院【矯正相談B】
※相談数が多いためA・Bに分かれていますが内容は同じです。
まずAで空き状況をご確認の上、ご希望の日付がなければBもご確認ください。
高槻院【小児矯正相談(12才以下) A】
高槻院【小児矯正相談(12才以下) B】
※相談数が多いためA・Bに分かれていますが内容は同じです。
まずAで空き状況をご確認の上、ご希望の日付がなければBもご確認ください。
診療時間
月〜土
9:00〜13:00/14:00〜20:00
第2・第4日曜
9:00〜13:00/14:00〜18:00(矯正歯科のみ)
休診日:日・祝(矯正歯科のみ第2・第4日曜診療)

茨木クローバー歯科・矯正歯科
茨木市松ケ本町8-30 イオンモール茨木2階
平日・土曜も夜19時まで診療
優しい矯正認定医が親切・丁寧に説明します。

三宮クローバー歯科・矯正歯科
(ミント神戸院)
神戸市中央区雲井通7-1-1 ミント神戸15F
平日・土曜も夜20時まで診療
優しい矯正認定医が親切・丁寧に説明します。

クローバー歯科・矯正歯科
神戸マルイ院
神戸市中央区三宮町1-7-2 神戸マルイ5F
平日・土曜も夜20時まで診療
優しい矯正認定医が親切・丁寧に説明します。

西宮クローバー歯科・矯正歯科
兵庫県西宮市高松町8-25
阪急西宮ガーデンズ プラス館3階
平日・土曜・日曜も夜20時まで診療
優しい矯正認定医が親切・丁寧に説明します。
診療時間
月〜日
9:00〜13:00/14:00〜20:00
休診日:祝日のみ
