














矯正治療には、気になる部分だけを整える方法から、歯並び全体や噛み合わせまでしっかり整える方法まで、さまざまな治療法があります。
ご予算やご希望に合わせて、代表的な矯正治療の費用目安をご紹介します。
※費用は治療内容や症例により異なります。
※部分矯正・全体矯正のどちらが適応となるかは、お口の状態によって異なります。
※詳しい費用については、カウンセリング時にご案内いたします。



当院は、世界的に権威のあるマウスピース矯正「インビザライン」で、最高ランクである
「パープルダイヤモンド」を受賞しています(※1500症例以上で認定/当院は2620症例)。
この実績は、日本全国でも数えるほどの医院しか取得していません。
また、グループ全体では1989年からの累計で71,294人以上の矯正治療実績があり、 2025年の“1年間”だけで初診相談に訪れた患者様は8,120人にのぼります。
経験と実績があるからこそ、あなたに合った治療方法を丁寧にご提案できます。
はじめての方も、安心してご相談ください。

大阪矯正歯科グループは、日本で最も長くインビザライン治療を提供してきた医院として、インビザライン・ジャパンならびに米国アライン・テクノロジー本社から第1位の表彰を受けました。
日本での導入初期から数多くの症例に携わってきた経験を活かし、見た目の美しさはもちろん、噛み合わせや治療後の安定性にも配慮したインビザライン治療をご提案しています。



最近は、マウスピース矯正を取り扱う医院も増えてきましたが、医院によっては対応できる治療法が限られている場合もあります。
当院では、ワイヤー矯正・マウスピース矯正・裏側矯正・部分矯正・輪郭手術(セットバック手術)など、さまざまな治療法に対応しているため、お口の状態やご希望に合わせて、最適な治療方法をご提案することが可能です。
「矯正ってこんな方法もあるんだ」と、気軽にご相談いただけるような雰囲気づくりも大切にしています。


矯正治療が長くなる原因のひとつは、予約が取りづらくて通院が伸びてしまうこと。
当院は矯正歯科医が多数在籍し、土日・夜8時まで診療しているため、予約が取りやすくスムーズに治療が進みます。
さらに、治療のスタート前から歯を動かす順番や量を精密にシミュレーション。 無駄のない動きになるように綿密な計画を立てることで、治療期間の短縮につながっています。
マウスピース矯正では、通常よりも短い間隔での交換(5日や3日ペース)を実施しており、より早く歯が動く仕組みを取り入れています。
これは「シュアスマイルVPro」という装置の高周波振動によって、歯の周りの骨の代謝を高め、痛みを抑えながら歯の動きを促進する技術があるからこそ実現できています。



矯正治療中に虫歯が見つかったり、抜歯が必要になることもありますが、多くの矯正専門医院では、そういった治療を他院に紹介されるケースが少なくありません。
当院では、虫歯治療・抜歯・歯ぐきのケアなども、すべて院内で対応できます。
矯正以外の治療もできるから、わざわざ別の病院に行く必要がなく、通院の負担も少なくて済みます。
「ここだけで全部できる」という安心感も、当院が選ばれている理由のひとつです。


土曜日も朝9時から夜8時まで診療しているので予約が取りやすいです。
万が一キャンセルなどで変更した場合も予約が取りやすいので、治療が計画通りスムーズに進みます。
※医院によって休診日・診療時間が異なります。


インビザラインのマウスピースに専用のホワイトニングの薬剤を入れて、歯に装着します。
そうすると、マウスピースを入れている間についでに同時に歯のホワイトニングができてしまうんです。
歯並びがキレイになって、さらに歯も白くなって本当にキレイな歯になります!
【治療内容】ホワイトニングジェルを流しこんだマウスピースを歯に装着して、歯を白くします。
【費用】ホームホワイトニング 0円
【リスク】歯が白くなっても、何もしなければ2〜3年で元に戻ります。後戻りを防ぐには専用の歯磨き剤で歯ブラシしていただく必要があります。
※ホワイトニングは保険が適用されない自由診療です


総院長 松本 正洋
矯正治療をしていていつも感じることは、矯正を終えた患者さんの笑顔はとても素敵になるいうことです。
それは歯並びがきれいになることによって、自分に自信が持て、心の内面から素敵になったからだと思います。
患者さんから「矯正をしてから自信が持てるようになって、今まで踏み出せなかった夢に進む勇気が出ました!」というお話を聞いた時には本当に矯正歯科をやっていてよかったと思いました。
悪い歯並びは虫歯や歯周病の原因となったり、肩こりや頭痛を起こしやすくなります。矯正歯科医として健康のために歯並びをきれいにすることはもちろんなのですが、それ以上に患者さんの心を幸せにできる価値ある仕事だと思っています。
これからも、経験と技術に基づいた矯正歯科治療を提供できるよう努めてまいります。

当院では低年齢でないとできない矯正を行っています。
そのメリットは、歯を抜かなくて済んだり、お顔の骨格自体が綺麗になったり、身体全身が健康になったりということがあります。そんなメリットを十分生かせるのが子供さんの矯正です。
そのメリットは、歯並びが悪くなる大元の原因から治すため、歯を抜かなくて済んだり、お顔の骨格自体が綺麗になったり、身体全身が健康になったりします。
子供の矯正は大人の矯正ではできない「成長を利用した治療」ができます。
早期に矯正を始めますと、歯並びが悪くなる大元の原因から治すことができます。
歯並びの良さはもちろん、顔のフォルムが美しくなり、全身の健康も手に入れることができますので、最低でも6〜8才までには診断をお受け頂きたいと思います。
大阪矯正歯科グループ
医療法人真摯会 総院長 医学博士





金属のワイヤーを一切使わない取り外し可能な透明のマウスピースで歯並びを治します。

歯に金具を付けることなく歯並びをキレイにします。
向かって左にはインビザライン(マウスピース)を装着、向かって右には金属のワイヤーを付けています。
インビザラインは透明なので自然で目立たず、装着していてもほとんど気付かれることはありません。
歯並びを治したいけれど、「治療中の見た目が気になって矯正に踏み出せない」という方におすすめの矯正方法です。
また、歯科への通院が6〜8週間に一度で済むということもインビザラインの特徴です。
マウスピース矯正インビザラインは、透明に近いマウスピース型の矯正装置(アライナー)を
歯につけることで歯並びを矯正する方法です!

透明だから目立たず、他人の目が気にならない
透明な取り外し式の装置なので、装着しても目立ちません。
ワイヤーの見た目や違和感が気になる方にはインビザラインをお勧めします。

患者さん自身で取り外しができる
いつでも自分で取り外し可能なので、お食事の時は外して何でも普段通りに食べられます。
取り外したマウスピースは洗えますので、歯、装置ともに衛生的です。

口内を傷つけず、快適な装着感で痛みが少ない
マウスピースの装着時、最初は締めつけられる感覚がありますが、数時間後にはそれがなくなります。
ワイヤーが口内の粘膜や舌に当たって出血したり、ブラケットが外れるといったトラブルもないので、快適に過ごせます。

外側からは矯正器具をつけていることが大変わかりにくいです

当院は毎日多くの矯正歯科のご相談をいただいております。殆どの方が、ワイヤーやブラケットといった装置が他人から見えることを、とても気にしておられます。
目立たない矯正「裏側矯正」をおすすめします。
目立たない方法で治療を受けたい方にお勧めするのが、裏側矯正です。歯の裏側にブラケットとワイヤーを取り付けますので、表側からは装置がほとんど見えません。
周囲の目を気にすることなく歯並びを矯正できます
このように、裏側矯正は装置が外側からかなり見えにくいため、外見を気にすることなく矯正治療が受けられます。目立たない矯正器具で治療したい方や、接客業の方やモデルさん等、装置が目立っては困る方にお勧めの治療法です。
ブラケットとワイヤーを歯に取り付けますが、ブラケット、ワイヤー共にお一人おひとりの歯型から作られますので、歯の裏側の形状にぴったりフィットします。

初診カウンセリングでは歯のお悩みなどをお聞きし、お口の中の状態を拝見します。
現在の歯並びや噛み合わせに合わせて、治療方法や治療期間や費用のご説明をいたします。
疑問や不安な点などなんでもご相談ください。

必要な精密検査を行います。(必要時のみレントゲン撮影をします。)


ラボで装置を製作します。
歯の形状にフィットする精密なブラケットやアーチワイヤーがオーダーメイドで作られます。


出来上がった装置がラボから届いたら、ブラケット・アーチワイヤーを歯の裏側に装着し、いよいよ治療スタートです。
治療中も装置が目立ず、周囲にも気付かれません。

ブラケット装着用のトレー
短時間で正確にブラケットを装着できます

アーチワイヤー
精密なアーチワイヤーを治療ステップごとに交換します


1ヶ月に1回程度ご来院いただき、治療の進み具合の確認やアーチワイヤーの交換や調整等を行います。
治療期間は平均2〜3年程度です。


歯並びがキレイになって矯正治療が終了した後すぐは歯が元の位置に戻ろうとしますので、保定装置を装着する保定期間に入ります。
歯並びが落ち着くまでは保定装置をつけていただきます。



「見えるところだけきれいにしたい」
「長い間ワイヤーをつけたくない…」
「なるべく安く歯並びを治したい」
とお考えの方は前歯だけの部分矯正がお勧めです。お気軽にご相談ください。裏側からの部分矯正もできます。
こんな方におすすめです

まず動かす前歯の4歯〜8歯の表面にブラケットを取り付けます。そのブラケットへワイヤーを通し歯を動かしていきます。
歯を動かすスペースがない場合には歯を少しスライスして隙間を作ります。削るのは0.25mm〜0.5mm程度で歯にダメージのない量ですのでご安心ください。
全体矯正の知識のある矯正医が治療を行っている元々、全体矯正を行う知識や技術のある矯正医が部分矯正の治療を行っていますのでご安心ください。
見た目のいい白いワイヤーも使っている
白いワイヤーは上品な感じで、見た目を気にされる方には最適です。ただ、別途費用がかかります(詳しい費用はこちら)。
痛みが最も少ない方法を採用している最初につけるワイヤーは、できるだけ細いワイヤーを使用しています。細いワイヤーの方が痛みが出にくいです。当院では痛みに配慮した方法を行っています。
歯の動きが最も速いブラケットを使ってるブラケットと言って、歯の表面につけるボタンのような器具ですが、種類がたくさんあります。当院ではその中からSANKIN社製の最も動きが速いブラケットを使って患者さんのクオリティの向上に努めています。
むし歯や歯周病等、連携した治療ができるむし歯治療や歯周病治療の専門医も在籍していますので連携した治療ができます。

ワイヤーの金属色が目立って気になる方には、審美性が高く、目立たない「ホワイトワイヤー矯正」をお勧めしています。
ホワイトワイヤーを使うと、歯の表側に装置を付けていても目立ちにくく、至近距離で見ると気付きますが、少し離れて見ると矯正しているとわかりません。

ホワイトワイヤー+セラミックブラケットで目立たない!
白いワイヤーを使い、ブラケットも白いセラミックブラケットを使用しますので、歯の色になじんでかなりカモフラージュ出来ます。
完全に見えないわけではないので、かなり近づくとわかりますが、ぱっと見ただけではわかりにくいです。ワイヤーの銀色が気になっていた方は白いワイヤーを使うことをお勧めしています。
表側矯正はワイヤーやブラケットが目立って嫌だなと思って躊躇されている方も少なくありませんが、それは銀色のメタルブラケットの印象が大きいのではないでしょうか。当院ではホワイトワイヤーとセラミックブラケット組み合わせることで、表側でも目立たずに矯正ができます。




※症例紹介の費用は掲載時点の金額です。治療費用は改定される場合がありますので、最新の料金はお問い合わせください。






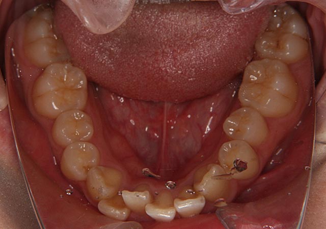
【治療内容】上下の歯が出ている上下前突の患者さんです。ホワイトワイヤー矯正で歯並びを治しました。
【費用】ホワイトワイヤー矯正 795,000円(税抜)
【リスク】矯正装置が口の中にあたって口内炎が出来やすくなる方もおられます。






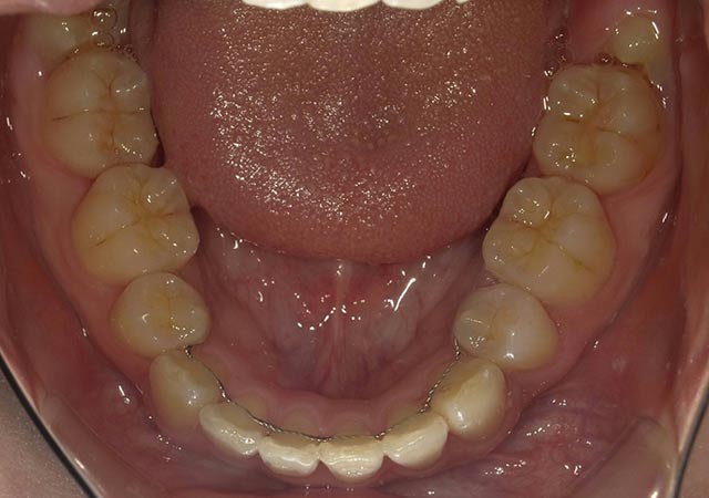
【治療内容】八重歯(叢生)の患者さんです。ホワイトワイヤー矯正で歯並びを治しました。
【費用】ホワイトワイヤー矯正 795,000円(税抜)
【リスク】矯正装置が口の中にあたって口内炎が出来やすくなる方もおられます。

お子さまには絶対キレイな歯並びになって欲しいですよね。そして、歯並びだけでなく全身も健康になれば更にいいですよね。そんな矯正治療があります!
矯正を低年齢から始め、骨格から治す治療法です。

低年齢から始めると、歯並びが悪くなる原因から治すことができます。
歯並びが悪くなる原因の殆どがアゴが小さいことです。そのせいで、永久歯が混み合ってガタガタに生えてきたりします。
低年齢から矯正するとこの大元のアゴが小さいという原因から治すことができます。
さらに、出っ歯や受け口も成長を利用してキレイに治すことができます。
また、骨格から治すことができるので、顔立ちが美人・男前になり、歯を抜く確率もかなり下がります。
全身の健康にも有効で、アゴが大きくなることにより、鼻の通りがよくなり、口呼吸が鼻呼吸に変わります。そのことによって身体全体が本当に健康になります。



デンタルローンにより最大120回まで の分割払いに対応したプランです。
金利手数料は実質年率3.6%とお安く設定されております。
当院独自ではありませんが、当然各種クレジットカードもご利用いただけます。

無料カウンセリング受付中
矯正するか迷っている方も、
まずは話すだけでも大丈夫。
初診相談
0円
あなたの歯並びに合う治療方法をご提案
費用や期間も、その場でわかります








マウスピース矯正(透明な取り外し式で目立たない)
| 内容 | 治療費(税抜) | ||||||||||||
|---|---|---|---|---|---|---|---|---|---|---|---|---|---|
| マウスピース部分矯正(前歯のみ) | |||||||||||||
|
【インビザラインGo】
前歯のみの矯正になります。適応かどうかは歯科医師にご相談ください。 |
【上下(前歯)】 390,000円 +消費税 分割プランはこちら
●金利3.6% 390,000円(税抜)の場合 |
||||||||||||
| マウスピース部分矯正 | |||||||||||||
|
【インビザライン イージーケース2】
気になる部分だけの矯正になりますが、前歯を多く動かす場合に適用になります。マウスピースが14枚程度の場合に行います。適応かどうかは歯科医師にご相談ください。 |
【上下(全顎)】 485,000円 +消費税 分割プランはこちら
●金利3.6% 485,000円(税抜)の場合 |
||||||||||||
| 【上か下(片顎)】 445,000円 +消費税 分割プランはこちら
●金利3.6% 445,000円(税抜)の場合 |
|||||||||||||
|
【インビザライン イージーケース3】
気になる部分だけの矯正になりますが、前歯をより多く動かす場合に適用になります。マウスピースが26枚程度の場合に行います。適応かどうかは歯科医師にご相談ください。 |
【上下(全顎)】 575,000円 +消費税 分割プランはこちら
●金利3.6% 575,000円(税抜)の場合 |
||||||||||||
| 【上か下(片顎)】 520,000円 +消費税 分割プランはこちら
●金利3.6% 520,000円(税抜)の場合 |
|||||||||||||
| インビザライン全体矯正 | 【上下(全顎)】 790,000円 +消費税 分割プランはこちら
●金利3.6% 790,000円(税抜)の場合 |
||||||||||||
![]() 【インビザライン】
透明なマウスピース型の装置を使用します。 装着などの取り外しが可能で、目立たない歯並び矯正として人気です。 |
|||||||||||||
| マウスピース・ワイヤー併用 | |||||||||||||
|
【インビザライン・ワイヤー併用】
マウスピース型の装置とワイヤーを併用して治療を行います。 |
【上下(全顎)】 860,000円 +消費税 分割プランはこちら
●金利3.6% 860,000円(税抜)の場合 |
||||||||||||
| 矯正加速装置 | |||||||||||||
![]() 【シュアスマイルVPro】
シュアスマイルVProは歯の移動を促進し、治療期間を短縮するために開発された矯正加速装置です。 |
【患者様限定価格】 ¥98,800 +消費税 |
||||||||||||
※虫歯治療や抜歯、歯のクリーニング、定期健診などの治療費用は、別途(保険診療)となります。
ワイヤーを使う矯正
※虫歯治療や抜歯、歯のクリーニング、定期健診などの治療費用は、別途(保険診療)となります。
セラミック矯正
| 内容 | 治療費(税抜) | ||||||||||||
|---|---|---|---|---|---|---|---|---|---|---|---|---|---|
| セレッククラウン | |||||||||||||
![]() 白い歯できれいですが、セレックというCAD・CAMコンピューターが作るため技工士が作った物より審美性は劣ります。変色はしません。 |
1本 ¥69,800 +消費税 分割プランはこちら
●金利3.6% 69,800円(税抜)の場合 |
||||||||||||
| オールセラミック | |||||||||||||
![]() セラミック100%の素材を使用したクラウン。強度がありますが、ジルコニアセラミックと比べると透過性が劣ります。 |
1本 ¥110,000 +消費税 分割プランはこちら
●金利3.6% 110,000円(税抜)の場合 |
||||||||||||
| ジルコニアセラミック | |||||||||||||
![]() 人工ダイアモンド素材のジルコニアセラミックでできているクラウン。天然歯のような審美性があり、透過性のあるファイバーコアを使用するとより自然です。 (土台にファイバーコアを使用する場合は¥8,000+消費税加算) |
1本 土台なし ¥140,000 +消費税 分割プランはこちら
●金利3.6% 140,000円(税抜)の場合 |
||||||||||||
子どもの矯正
| 内容 | 治療費(税抜) | ||||||||||||
|---|---|---|---|---|---|---|---|---|---|---|---|---|---|
| 子ども矯正【1期治療】 | |||||||||||||
| 管理料¥0 | |||||||||||||
![]() 【乳歯列期・混合歯列期】 |
【上下(全顎)】 ¥460,000 +消費税 分割プランはこちら
●金利3.6% 460,000円(税抜)の場合 |
||||||||||||
| インビザラインファースト【1期治療】 | |||||||||||||
| 管理料¥0 | |||||||||||||
![]() 【乳歯列期・混合歯列期】 |
¥510,000 +消費税 分割プランはこちら
●金利3.6% 510,000円(税抜)の場合 |
||||||||||||
| プレオルソ・T4Kなど | |||||||||||||
| 管理料¥0 | |||||||||||||
![]() <マウスピース型> ※乳歯列期から1期治療へ移行する場合、1期治療費を8万円減額。 |
¥160,000 +消費税 |
||||||||||||
| 子ども矯正【2期治療】 | |||||||||||||
| 管理料は大人の矯正に準じます。 | |||||||||||||
|
【永久歯列期】大人の矯正から一律40万円を減額した額となります。 |
|||||||||||||
| ムーシールド | |
| 管理料¥0 | |
![]() 【3才ごろから】 (1期治療へ移行する場合の費用は1期費用から8万円を差し引いた金額となります。) |
¥160,000 +消費税 |
矯正治療は必ず矯正歯科認定医のいる医院で受けて下さい。
また、マウスピース矯正だけでなくワイヤー矯正も行ってる医院を選んで下さい。
矯正治療というのは、非常に奥が深くて難しいんです。
矯正治療の基本はワイヤー矯正です。ワイヤーで歯を動かす知識が矯正治療の大前提なんです。
また、ワイヤーであれば、ほとんどの難しい症例でも治療できます。
その知識を持ってるのが日本矯正歯科学会の矯正歯科認定医です!

ここ数年(2020年以降)、マウスピース矯正が流行してますが、現実には、矯正認定医ではない普通の一般歯科医がマウスピース矯正を行うことが多くなりました。
マウスピース矯正の知識しか持たない一般歯科医がマウスピース矯正を行った場合、上手く治らないことも多く、失敗するケースもあります。
矯正の表面的な知識だけでも、マウスピース矯正は始められるのです。
また、失敗してもフォローすることができないという大問題があり、患者さんは泣き寝入りになってしまいます。
派手にインスタ等にアップしてる認定医のいない歯科医院は、キレイに治った症例だけをアップしてますので、「うのみ」にはしないで下さい。

ですので結論は、
矯正歯科認定医に治療を受けるか、矯正歯科認定医が在籍してそのバックの元で治療を行ってる医院で矯正治療は必ず受けて下さい。

当院は矯正歯科認定医が15名在籍しており、確実にフォローしています。
その矯正歯科認定医の名前ですが、当院のホームページには載せてないんです。
その理由をご説明します。
日本矯正歯科学会はワイヤーでの治療を矯正治療の根幹と考えており、インビザラインのようなマウスピースによる矯正治療を、学会として正式に認めておらず、マウスピース矯正を積極的に行うことに対して難色を示しています。
当グループの認定医はインビザラインの治療に自信を持って積極的に行っているため、学会の意図と合わず、HP上に認定医の名前を載せてしまうのは難しい為、載せてないんです。 本当はHPに載せたいのです。
ですので、当院のホームページには認定医の名前を載せていませんが、確実に15名在籍しておりますので、どうぞご安心下さい。
矯正歯科に関するご質問・お悩みなど、どんな小さなことでも丁寧にお答えしますので、お気軽にご相談くださいね。

医療法人真摯会 総院長
医学博士
松本 正洋




松本歯科大学卒業 松本歯科大学大学院卒業
2007年 松本歯科大学卒業
国立徳島大学歯学部卒業
2004年 国立徳島大学 歯学部 歯学科入学











クローバー歯科クリニックは、
大阪矯正歯科グループ併設の
矯正歯科クリニックです。
お電話かネットからご予約ください。
梅田クローバー歯科・矯正歯科アネックス
大阪市北区梅田1-1-3-1800 大阪駅前第3ビル18F
平日・土曜・日曜も夜20時まで診療
優しい矯正認定医が親切・丁寧に説明します。
梅田クローバー歯科・矯正歯科アネックス【矯正相談】
梅田クローバー歯科・矯正歯科アネックス【小児矯正相談(12歳以下)】
ご予約後メールが届きますので、メールに記載の予診票をカウンセリング前に必ずご入力ください。
わざわざ医院にお越しいただかなくてもお気軽に矯正のオンラインカウンセリングができます。
親切丁寧にご説明します。
診療時間
月〜日
9:00〜13:00/14:00〜20:00
休診日:祝日のみ
梅田茶屋町クローバー歯科・矯正歯科
大阪市北区茶屋町15-22 アーバンテラス茶屋町C棟4階
平日・土曜も夜20時まで診療
優しい矯正認定医が親切・丁寧に説明します。
ご予約後メールが届きますので、メールに記載の予診票をカウンセリング前に必ずご入力ください。
わざわざ医院にお越しいただかなくてもお気軽に矯正のオンラインカウンセリングができます。
親切丁寧にご説明します。
診療時間
月〜土
9:00〜13:00/14:00〜20:00
休診日:日・祝
カトレア歯科矯正歯科・美容
クリニック
(クローバー歯科クリニックイーマ院)
大阪府大阪市北区梅田1-12-6 E-ma(イーマ)6階
平日・土曜も夜20時まで診療
優しい矯正認定医が親切・丁寧に説明します。
カトレア歯科矯正歯科・美容クリニック【矯正相談A】
カトレア歯科矯正歯科・美容クリニック【矯正相談B】
※相談数が多いためA・Bに分かれていますが内容は同じです。
まずAで空き状況をご確認の上、ご希望の日付がなければBもご確認ください。
ご予約後メールが届きますので、メールに記載の予診票をカウンセリング前に必ずご入力ください。
わざわざ医院にお越しいただかなくてもお気軽に矯正のオンラインカウンセリングができます。
親切丁寧にご説明します。
美容Tel.(輪郭手術はこちらにお電話ください)
カトレア歯科矯正歯科・美容クリニック【輪郭手術相談】
診療時間
月〜土
9:00〜13:00/14:00〜20:00
休診日:日・祝
梅田クローバー歯科・矯正歯科
大阪市北区梅田1-1-3-1800 大阪駅前第3ビル18F
平日・土曜・日曜も夜20時まで診療
優しい矯正認定医が親切・丁寧に説明します。
梅田クローバー歯科クリニック【矯正相談】
梅田クローバー歯科クリニック【小児矯正相談(12歳以下)】
ご予約後メールが届きますので、メールに記載の予診票をカウンセリング前に必ずご入力ください。
わざわざ医院にお越しいただかなくてもお気軽に矯正のオンラインカウンセリングができます。
親切丁寧にご説明します。
診療時間
月〜日
9:00〜13:00/14:00〜20:00
休診日:祝日のみ
なんばクローバー歯科・矯正歯科
大阪市浪速区湊町1-2-3 マルイト難波ビル3F
平日・土曜・日曜も夜20時まで診療
優しい矯正認定医が親切・丁寧に説明します。
ご予約後メールが届きますので、メールに記載の予診票をカウンセリング前に必ずご入力ください。
わざわざ医院にお越しいただかなくてもお気軽に矯正のオンラインカウンセリングができます。
親切丁寧にご説明します。
診療時間
月〜日
9:00〜13:00/14:00〜20:00
休診日:祝日のみ

クローバー歯科・矯正歯科
あべの天王寺院
大阪府大阪市阿倍野区阿倍野筋1-2-30 あべのHoop4F
平日・土曜・日曜も夜20時まで診療
優しい矯正認定医が親切・丁寧に説明します。
診療時間
月〜日
9:00〜13:00/14:00〜20:00
休診日:祝日のみ

心斎橋クローバー歯科・矯正歯科
大阪市中央区心斎橋筋1-4-29 ココテラス心斎橋4F
平日・土曜も夜20時まで診療
優しい矯正認定医が親切・丁寧に説明します。
診療時間
月〜土
9:00〜13:00/14:00〜20:00
休診日:日・祝

京橋クローバー歯科・矯正歯科
大阪府大阪市都島区東野田町2-6-1
コムズガーデンB1階
平日・土曜・日曜も夜20時まで診療
優しい矯正認定医が親切・丁寧に説明します。
京橋院【矯正相談】
ご予約後メールが届きますので、メールに記載の予診票をカウンセリング前に必ずご入力ください。
わざわざ医院にお越しいただかなくてもお気軽に矯正のオンラインカウンセリングができます。
親切丁寧にご説明します。
診療時間
月〜日
9:00〜13:00/14:00〜20:00
休診日:祝日のみ

クローバー歯科・矯正歯科
豊中駅前院
大阪府豊中市玉井町1-1-1 エトレ豊中3F
平日・土曜も夜20時まで診療
優しい矯正医が親切・丁寧に説明します。
クローバー歯科豊中駅前院【大人の歯列矯正のご相談】
クローバー歯科豊中駅前院【子どもの歯列矯正のご相談】
ご予約後メールが届きますので、メールに記載の予診票をカウンセリング前に必ずご入力ください。
わざわざ医院にお越しいただかなくてもお気軽に矯正のオンラインカウンセリングができます。
親切丁寧にご説明します。
診療時間
月〜土
9:00〜13:00/14:00〜20:00
休診日:日・祝

クローバー歯科・矯正歯科
豊中駅前アネックス
大阪府豊中市玉井町1-1-1 エトレ豊中4F
平日・土曜も夜20時まで診療
優しい矯正認定医が親切・丁寧に説明します。
クローバー歯科豊中駅前アネックス【矯正相談】
クローバー歯科豊中駅前アネックス【小児矯正相談(小学生以下)】
ご予約後メールが届きますので、メールに記載の予診票をカウンセリング前に必ずご入力ください。
わざわざ医院にお越しいただかなくてもお気軽に矯正のオンラインカウンセリングができます。
親切丁寧にご説明します。
診療時間
月〜土
9:00〜13:00/14:00〜20:00
休診日:日・祝

まつもと歯科・矯正歯科(吹田本院)
大阪府吹田市山田東2-1-1
平日・土曜も夜20時まで診療
優しい矯正認定医が親切・丁寧に説明します。
まつもと歯科【矯正相談】
ご予約後メールが届きますので、メールに記載の予診票をカウンセリング前に必ずご入力ください。
わざわざ医院にお越しいただかなくてもお気軽に矯正のオンラインカウンセリングができます。
親切丁寧にご説明します。
診療時間
月〜土
9:00〜13:00/14:00〜20:00
休診日:日・祝


高槻クローバー歯科・矯正歯科
大阪府高槻市高槻町12-23 ワキタビル2階
平日・土曜も夜20時まで診療
優しい矯正認定医が親切・丁寧に説明します。
高槻院【矯正相談A】
高槻院【矯正相談B】
※相談数が多いためA・Bに分かれていますが内容は同じです。
まずAで空き状況をご確認の上、ご希望の日付がなければBもご確認ください。
高槻院【小児矯正相談(12才以下) A】
高槻院【小児矯正相談(12才以下) B】
※相談数が多いためA・Bに分かれていますが内容は同じです。
まずAで空き状況をご確認の上、ご希望の日付がなければBもご確認ください。
診療時間
月〜土
9:00〜13:00/14:00〜20:00
第2・第4日曜
9:00〜13:00/14:00〜18:00(矯正歯科のみ)
休診日:日・祝(矯正歯科のみ第2・第4日曜診療)

茨木クローバー歯科・矯正歯科
茨木市松ケ本町8-30 イオンモール茨木2階
平日・土曜も夜19時まで診療
優しい矯正認定医が親切・丁寧に説明します。
茨木院【矯正相談(平日)】
茨木院【矯正相談(土曜日)】
ご予約後メールが届きますので、メールに記載の予診票をカウンセリング前に必ずご入力ください。
わざわざ医院にお越しいただかなくてもお気軽に矯正のオンラインカウンセリングができます。
親切丁寧にご説明します。
診療時間
月〜土
10:00〜13:20/14:20〜19:00
休診日:日・祝

三宮クローバー歯科・矯正歯科
(ミント神戸院)
神戸市中央区雲井通7-1-1 ミント神戸15F
平日・土曜も夜20時まで診療
優しい矯正認定医が親切・丁寧に説明します。

クローバー歯科・矯正歯科
神戸マルイ院
神戸市中央区三宮町1-7-2 神戸マルイ5F
平日・土曜も夜20時まで診療
優しい矯正認定医が親切・丁寧に説明します。
クローバー歯科クリニック神戸マルイ院【矯正相談】
ご予約後メールが届きますので、メールに記載の予診票をカウンセリング前に必ずご入力ください。
わざわざ医院にお越しいただかなくてもお気軽に矯正のオンラインカウンセリングができます。
親切丁寧にご説明します。
診療時間
月〜土
11:00〜13:00/14:00〜20:00
休診日:日・祝

西宮クローバー歯科・矯正歯科
兵庫県西宮市高松町8-25
阪急西宮ガーデンズ プラス館3階
平日・土曜・日曜も夜20時まで診療
優しい矯正認定医が親切・丁寧に説明します。
西宮院【矯正相談】
西宮院【小児矯正相談(12歳以下)】
ご予約後メールが届きますので、メールに記載の予診票をカウンセリング前に必ずご入力ください。
わざわざ医院にお越しいただかなくてもお気軽に矯正のオンラインカウンセリングができます。
親切丁寧にご説明します。
診療時間
月〜日
9:00〜13:00/14:00〜20:00
休診日:祝日のみ
